![Various whole cell extracts (30 μg) were separated by 10% SDS-PAGE, and the membrane was blotted with SMYD5 antibody [C2C3], C-term (GTX110518) diluted at 1:1000. The HRP-conjugated anti-rabbit IgG antibody (GTX213110-01) was used to detect the primary antibody. Various whole cell extracts (30 μg) were separated by 10% SDS-PAGE, and the membrane was blotted with SMYD5 antibody [C2C3], C-term (GTX110518) diluted at 1:1000. The HRP-conjugated anti-rabbit IgG antibody (GTX213110-01) was used to detect the primary antibody.](https://www.genetex.com/upload/website/prouct_img/normal/GTX110518/GTX110518_39988_20220708_WB_22071401_252.webp)
Various whole cell extracts (30 μg) were separated by 10% SDS-PAGE, and the membrane was blotted with SMYD5 antibody [C2C3], C-term (GTX110518) diluted at 1:1000. The HRP-conjugated anti-rabbit IgG antibody (GTX213110-01) was used to detect the primary antibody.
SMYD5 antibody [C2C3], C-term
GTX110518
ApplicationsWestern Blot, ImmunoHistoChemistry, ImmunoHistoChemistry Paraffin
Product group Antibodies
ReactivityHuman, Mouse
TargetSMYD5
Overview
- SupplierGeneTex
- Product NameSMYD5 antibody [C2C3], C-term
- Delivery Days Customer9
- Application Supplier NoteWB: 1:500-1:3000. IHC-P: 1:100-1:1000. *Optimal dilutions/concentrations should be determined by the researcher.Not tested in other applications.
- ApplicationsWestern Blot, ImmunoHistoChemistry, ImmunoHistoChemistry Paraffin
- CertificationResearch Use Only
- ClonalityPolyclonal
- Concentration1 mg/ml
- ConjugateUnconjugated
- Gene ID10322
- Target nameSMYD5
- Target descriptionSMYD family member 5
- Target synonymsNN8-4AG, RAI15, RRG1, ZMYND23, protein-lysine N-trimethyltransferase SMYD5, SET and MYND domain-containing protein 5, [histone H3]-lysine20 N-trimethyltransferase SMYD5, [histone H4]-lysine20 N-trimethyltransferase SMYD5, [histone H4]-lysine36 N-trimethyltransferase SMYD5, histone-lysine N-trimethyltransferase SMYD5, retinoic acid induced 15, retinoic acid responsive, retinoic acid-induced protein 15
- HostRabbit
- IsotypeIgG
- Protein IDQ6GMV2
- Protein NameProtein-lysine N-trimethyltransferase SMYD5
- ReactivityHuman, Mouse
- Storage Instruction-20°C or -80°C,2°C to 8°C
- UNSPSC41116161


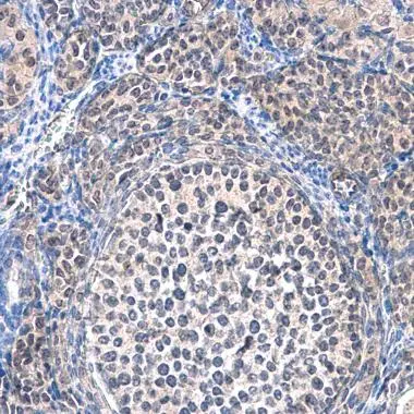
![SMYD5 antibody [C2C3], C-term detects SMYD5 protein at cytoplasm and nucleus on mouse ovary by immunohistochemical analysis. Sample: Paraffin-embedded mouse ovary. SMYD5 antibody [C2C3], C-term (GTX110518) diluted at 1:500.
Antigen Retrieval: Trilogy? (EDTA based, pH 8.0) buffer, 15min SMYD5 antibody [C2C3], C-term detects SMYD5 protein at cytoplasm and nucleus on mouse ovary by immunohistochemical analysis. Sample: Paraffin-embedded mouse ovary. SMYD5 antibody [C2C3], C-term (GTX110518) diluted at 1:500.
Antigen Retrieval: Trilogy? (EDTA based, pH 8.0) buffer, 15min](https://www.genetex.com/upload/website/prouct_img/normal/GTX110518/GTX110518_39988_20150306_IHC_M_w_23060500_311.webp)





