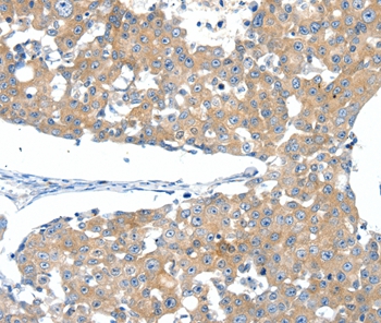
![IHC-P analysis of human pancreatic ductal adenocarcinoma (PDAC) tissue using GTX641401 Somatostatin receptor 3 antibody [H340] HistoMAX?. Pancreatic ductal adenocarcinoma with moderate to strong somatostatin receptor 3 staining of most tumor cells. IHC-P analysis of human pancreatic ductal adenocarcinoma (PDAC) tissue using GTX641401 Somatostatin receptor 3 antibody [H340] HistoMAX?. Pancreatic ductal adenocarcinoma with moderate to strong somatostatin receptor 3 staining of most tumor cells.](https://www.genetex.com/upload/website/prouct_img/normal/GTX641401/GTX641401_20250117_IHC-P_2_25012200_464.webp)
IHC-P analysis of human pancreatic ductal adenocarcinoma (PDAC) tissue using GTX641401 Somatostatin receptor 3 antibody [H340] HistoMAX?. Pancreatic ductal adenocarcinoma with moderate to strong somatostatin receptor 3 staining of most tumor cells.
Somatostatin receptor 3 antibody [H340] HistoMAX(tm)
GTX641401
ApplicationsImmunoHistoChemistry, ImmunoHistoChemistry Paraffin
Product group Antibodies
ReactivityHuman
TargetSSTR3
Overview
- SupplierGeneTex
- Product NameSomatostatin receptor 3 antibody [H340] HistoMAX(tm)
- Delivery Days Customer7
- Application Supplier NoteIHC-P: 1:100-1:200. *Optimal dilutions/concentrations should be determined by the researcher.Not tested in other applications.
- ApplicationsImmunoHistoChemistry, ImmunoHistoChemistry Paraffin
- CertificationResearch Use Only
- ClonalityMonoclonal
- Clone IDH340
- Concentration0.33 mg/ml
- ConjugateUnconjugated
- Gene ID6753
- Target nameSSTR3
- Target descriptionsomatostatin receptor 3
- Target synonymsSS-3-R, SS3-R, SS3R, SSR-28, SST3, somatostatin receptor type 3
- HostRabbit
- IsotypeIgG
- Protein IDP32745
- Protein NameSomatostatin receptor type 3
- Scientific DescriptionThis gene encodes a member of the somatostatin receptor protein family. Somatostatins are peptide hormones that regulate diverse cellular functions such as neurotransmission, cell proliferation, and endocrine signaling as well as inhibiting the release of many hormones and other secretory proteins. Somatostatin has two active forms of 14 and 28 amino acids. The biological effects of somatostatins are mediated by a family of G-protein coupled somatostatin receptors that are expressed in a tissue-specific manner. Somatostatin receptors form homodimers and heterodimers with other members of the superfamily as well as with other G-protein coupled receptors and receptor tyrosine kinases. This protein is functionally coupled to adenylyl cyclase. Alternate splicing results in multiple transcript variants. [provided by RefSeq, Jul 2013]
- ReactivityHuman
- Storage Instruction-20°C or -80°C,2°C to 8°C
- UNSPSC41116161
![IHC-P analysis of human cerebrum tissue using GTX641401 Somatostatin receptor 3 antibody [H340] HistoMAX?. A moderate to strong somatostatin receptor 3 immunostaining can be found in the grey matter of the cerebrum. IHC-P analysis of human cerebrum tissue using GTX641401 Somatostatin receptor 3 antibody [H340] HistoMAX?. A moderate to strong somatostatin receptor 3 immunostaining can be found in the grey matter of the cerebrum.](https://www.genetex.com/upload/website/prouct_img/normal/GTX641401/GTX641401_20250117_IHC-P_1_25012200_605.webp)
![IHC-P analysis of human glioblastoma (GBM) tissue using GTX641401 Somatostatin receptor 3 antibody [H340] HistoMAX?. Glioblastoma with moderate to strong somatostatin receptor 3 staining of most tumor cells. IHC-P analysis of human glioblastoma (GBM) tissue using GTX641401 Somatostatin receptor 3 antibody [H340] HistoMAX?. Glioblastoma with moderate to strong somatostatin receptor 3 staining of most tumor cells.](https://www.genetex.com/upload/website/prouct_img/normal/GTX641401/GTX641401_20250117_IHC-P_3_25012200_468.webp)
![IHC-P analysis of human normal tissues using GTX641401 Somatostatin receptor 3 antibody [H340] HistoMAX?. A strong somatostatin receptor 3 immunostaining in the grey matter of the cerebrum. A weak somatostatin receptor 3 immunostaining in a subset of renal epithelial cells. IHC-P analysis of human normal tissues using GTX641401 Somatostatin receptor 3 antibody [H340] HistoMAX?. A strong somatostatin receptor 3 immunostaining in the grey matter of the cerebrum. A weak somatostatin receptor 3 immunostaining in a subset of renal epithelial cells.](https://www.genetex.com/upload/website/prouct_img/normal/GTX641401/GTX641401_20250117_IHC-P_Array_25012200_224.webp)





![Human tissue extract (10 μg) was separated by 10% SDS-PAGE, and the membrane was blotted with Somatostatin receptor 3 antibody [HL2681] (GTX639345) diluted at 1:500. The HRP-conjugated anti-rabbit IgG antibody (GTX213110-01) was used to detect the primary antibody, and the signal was developed with Trident femto Western HRP Substrate.](https://www.genetex.com/upload/website/prouct_img/normal/GTX639345/GTX639345_T-45222_20231222_WB_testis_23122619_415.webp)