
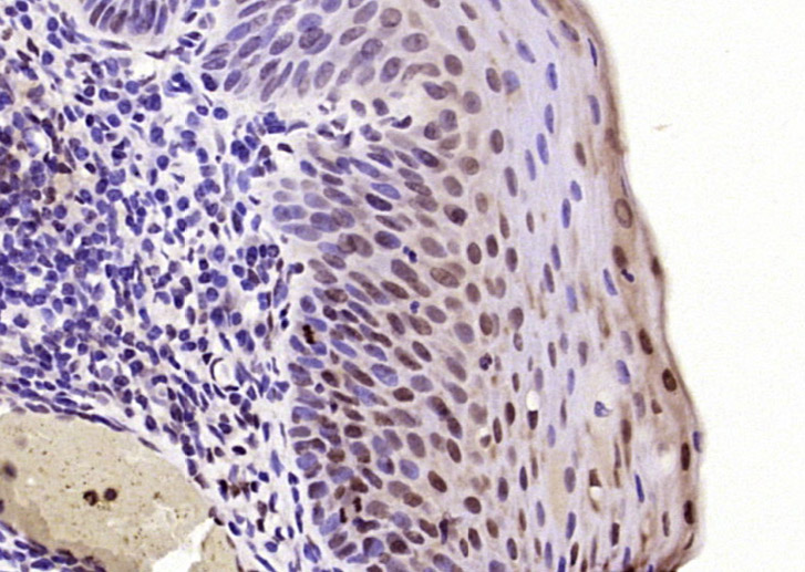
Paraformaldehyde-fixed, paraffin embedded Mouse testis; Antigen retrieval by boiling in sodium citrate buffer (pH6.0) for 15min; Block endogenous peroxidase by 3% hydrogen peroxide for 20 minutes; Blocking buffer (normal goat serum) at 37°C for 30min; Antibody incubation with SP2 transcription factor Polyclonal Antibody, Unconjugated (bs-17612R) at 1:200 overnight at 4°C, DAB staining.
SP2 transcription factor Polyclonal Antibody
BS-17612R
ApplicationsImmunoFluorescence, ELISA, ImmunoCytoChemistry, ImmunoHistoChemistry, ImmunoHistoChemistry Frozen, ImmunoHistoChemistry Paraffin
Product group Antibodies
ReactivityHuman, Mouse
TargetSP2
Overview
- SupplierBioss
- Product NameSP2 transcription factor Polyclonal Antibody
- Delivery Days Customer16
- ApplicationsImmunoFluorescence, ELISA, ImmunoCytoChemistry, ImmunoHistoChemistry, ImmunoHistoChemistry Frozen, ImmunoHistoChemistry Paraffin
- Applications SupplierELISA(1:500-1000), IHC-P(1:200-400), IHC-F(1:100-500), IF(IHC-P)(1:50-200), IF(IHC-F)(1:50-200), IF(ICC)(1:50-200)
- CertificationResearch Use Only
- ClonalityPolyclonal
- Concentration1 ug/ul
- ConjugateUnconjugated
- Gene ID6668
- Target nameSP2
- Target descriptionSp2 transcription factor
- Target synonymstranscription factor Sp2
- HostRabbit
- IsotypeIgG
- Protein IDQ02086
- Protein NameTranscription factor Sp2
- ReactivityHuman, Mouse
- Storage Instruction-20°C
- UNSPSC41116161





