
Lane 1: Mouse liver lysates; Lane 2:Rat Liver lysates probed with SREBP1 Polyclonal Antibody, Unconjugated (bs-1402R) at 1:300 dilution and 4˚C overnight incubation. Followed by conjugated secondary antibody incubation at 1:10000 for 60 min at 37˚C.
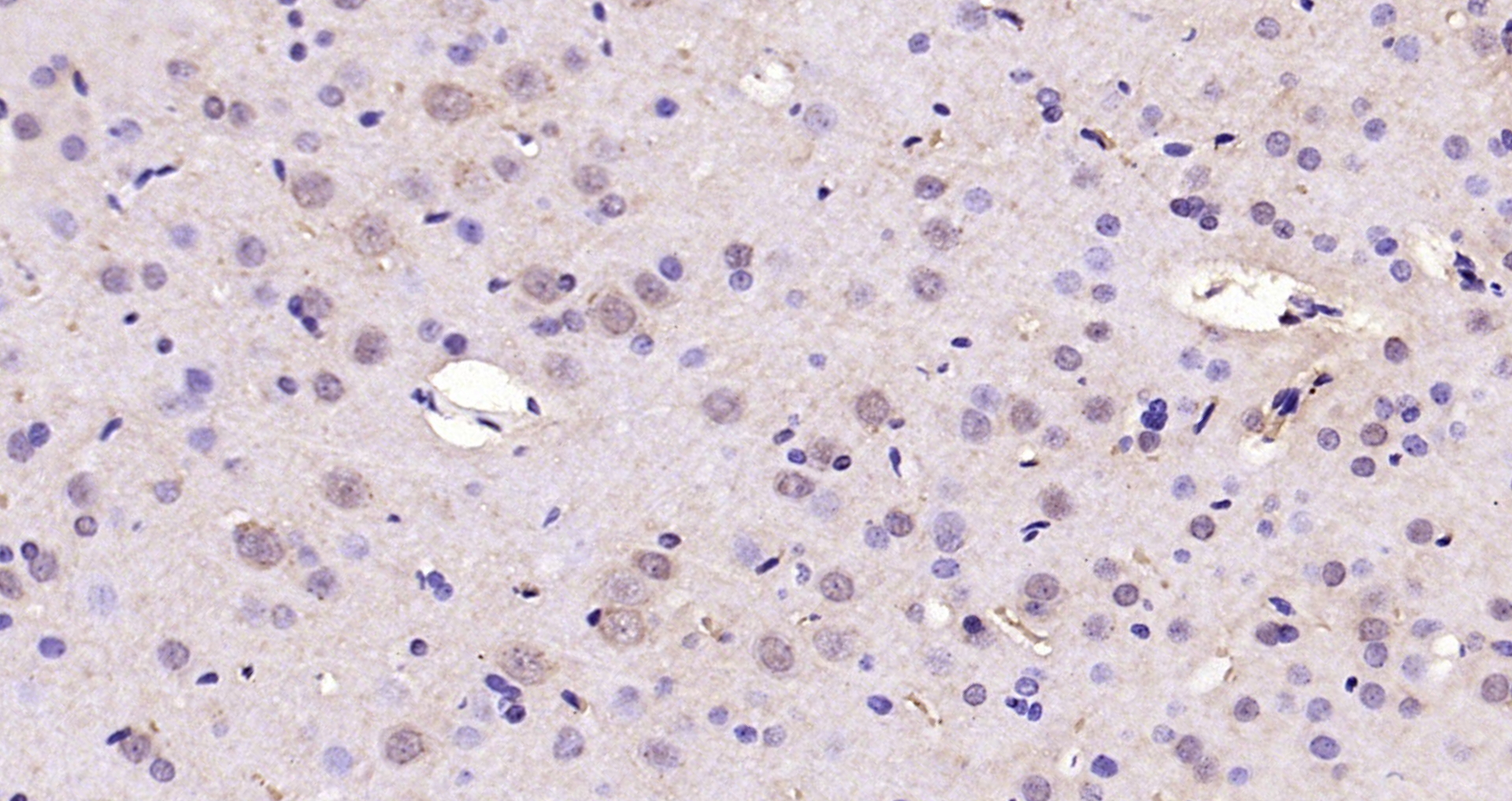
SREBP1 Polyclonal Antibody
BS-1402R
ApplicationsImmunoFluorescence, Western Blot, ELISA, ImmunoCytoChemistry, ImmunoHistoChemistry, ImmunoHistoChemistry Frozen, ImmunoHistoChemistry Paraffin
Product group Antibodies
ReactivityChicken, Human, Mouse, Rat, Sheep
TargetSREBF1
Overview
- SupplierBioss
- Product NameSREBP1 Polyclonal Antibody
- Delivery Days Customer16
- ApplicationsImmunoFluorescence, Western Blot, ELISA, ImmunoCytoChemistry, ImmunoHistoChemistry, ImmunoHistoChemistry Frozen, ImmunoHistoChemistry Paraffin
- Applications SupplierWB(1:300-5000), ELISA(1:500-1000), IHC-P(1:200-400), IHC-F(1:100-500), IF(IHC-P)(1:50-200), IF(IHC-F)(1:50-200), IF(ICC)(1:50-200)
- CertificationResearch Use Only
- ClonalityPolyclonal
- Concentration1 ug/ul
- ConjugateUnconjugated
- Gene ID6720
- Target nameSREBF1
- Target descriptionsterol regulatory element binding transcription factor 1
- Target synonymsHMD, IFAP2, SREBP1, bHLHd1, sterol regulatory element-binding protein 1, class D basic helix-loop-helix protein 1
- HostRabbit
- IsotypeIgG
- ReactivityChicken, Human, Mouse, Rat, Sheep
- Storage Instruction-20°C
- UNSPSC12352203
References
- Sun W , Liu P , Wang T , et al. Baicalein reduces hepatic fat accumulation by activating AMPK in oleic acid-induced HepG2 cells and high-fat diet-induced non-insulin-resistant mice. Food Funct. 2020,11(1):711-721. doi: 10.1039/c9fo02237fRead this paper
- Yang X, Zhang C, Tie H, et al. miR-760 exerts an antioncogenic effect in esophageal squamous cell carcinoma by negatively driving fat metabolism via targeting c-Myc. J Cell Biochem. 2020,121(4):2950-2961. doi: 10.1002/jcb.29540Read this paper
- Li P, Zhou C, Li X, et al. CRTC2 Is a Key Mediator of Amino Acid-Induced Milk Fat Synthesis in Mammary Epithelial Cells. J Agric Food Chem. 2019,67(37):10513-10520. doi: 10.1021/acs.jafc.9b04648Read this paper
- Li X, Li P, Wang L, et al. Lysine Enhances the Stimulation of Fatty Acids on Milk Fat Synthesis via the GPRC6A-PI3K-FABP5 Signaling in Bovine Mammary Epithelial Cells. J Agric Food Chem. 2019,67(25):7005-7015. doi: 10.1021/acs.jafc.9b02160Read this paper
- Dong S, Ji J, Hu L, et al. Dihydromyricetin alleviates acetaminophen-induced liver injury via the regulation of transformation, lipid homeostasis, cell death and regeneration. Life Sci. 2019,227:20-29. doi: 10.1016/j.lfs.2019.04.019Read this paper
- Zhao Z, Zhong L, He K, et al. Cholesterol attenuated the progression of DEN-induced hepatocellular carcinoma via inhibiting SCAP mediated fatty acid de novo synthesis. Biochem Biophys Res Commun. 2019,509(4):855-861. doi: 10.1016/j.bbrc.2018.12.181Read this paper
- Fu D, Cui H, Zhang Y. Lack of ClC-2 Alleviates High Fat Diet-Induced Insulin Resistance and Non-Alcoholic Fatty Liver Disease. Cell Physiol Biochem. 2018,45(6):2187-2198. doi: 10.1159/000488164Read this paper
- Ma Z, Chu L, Liu H, et al. Beneficial effects of paeoniflorin on non-alcoholic fatty liver disease induced by high-fat diet in rats. Sci Rep. 2017,7:44819. doi: 10.1038/srep44819Read this paper










