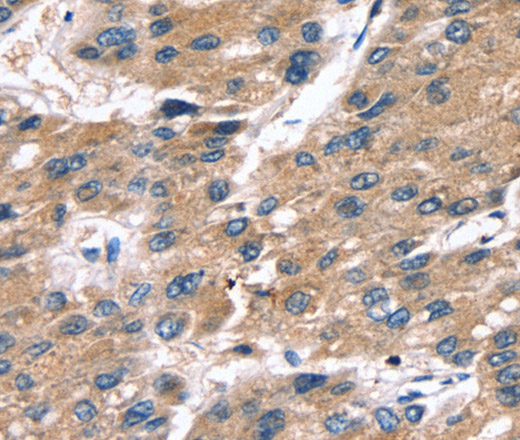
Immunohistochemistry of paraffin-embedded Human liver cancer tissue using SRGN Polyclonal Antibody at dilution 1:25
SRGN Polyclonal Antibody
E-AB-11601
Product group Antibodies
Overview
- SupplierElabscience
- Product NameSRGN Polyclonal Antibody
- Delivery Days Customer12
- Applications SupplierELISA IHC
- CertificationResearch Use Only
- Concentration0.3mg/ml
- Scientific DescriptionThis gene encodes a protein best known as a hematopoietic cell granule proteoglycan. Proteoglycans stored in the secretory granules of many hematopoietic cells also contain a protease-resistant peptide core, which may be important for neutralizing hydrolytic enzymes. This encoded protein was found to be associated with the macromolecular complex of granzymes and perforin, which may serve as a mediator of granule-mediated apoptosis.
- UNSPSC12352203




