
SSU72 antibody detects SSU72 protein by western blot analysis. Various whole cell extracts (30 μg) were separated by 12% SDS-PAGE, and the membrane was blotted with SSU72 antibody (GTX116436) diluted at 1:500.
SSU72 antibody [N1C3]
GTX116436
ApplicationsWestern Blot, ImmunoHistoChemistry, ImmunoHistoChemistry Paraffin
Product group Antibodies
ReactivityHuman, Mouse, Rat
TargetSSU72
Overview
- SupplierGeneTex
- Product NameSSU72 antibody [N1C3]
- Delivery Days Customer9
- Application Supplier NoteWB: 1:500-1:3000. IHC-P: 1:100-1:1000. *Optimal dilutions/concentrations should be determined by the researcher.Not tested in other applications.
- ApplicationsWestern Blot, ImmunoHistoChemistry, ImmunoHistoChemistry Paraffin
- CertificationResearch Use Only
- ClonalityPolyclonal
- Concentration1 mg/ml
- ConjugateUnconjugated
- Gene ID29101
- Target nameSSU72
- Target descriptionSSU72 homolog, RNA polymerase II CTD phosphatase
- Target synonymsHSPC182, PNAS-120, RNA polymerase II subunit A C-terminal domain phosphatase SSU72, CTD phosphatase SSU72
- HostRabbit
- IsotypeIgG
- Protein IDQ9NP77
- Protein NameRNA polymerase II subunit A C-terminal domain phosphatase SSU72
- Scientific DescriptionMay be involved in the C-terminal domain of RNA polymerase II dephosphorylation, RNA processing and termination.
- ReactivityHuman, Mouse, Rat
- Storage Instruction-20°C or -80°C,2°C to 8°C
- UNSPSC12352203
References
- Chen Y, Zhang L, Estarás C, et al. A gene-specific role for the Ssu72 RNAPII CTD phosphatase in HIV-1 Tat transactivation. Genes Dev. 2014,28(20):2261-75. doi: 10.1101/gad.250449.114Read this paper
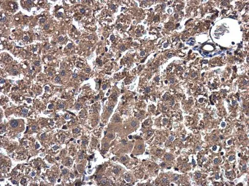
![SSU72 antibody [N1C3] detects SSU72 protein at cytoplasm in rat liver by immunohistochemical analysis. Sample: Paraffin-embedded rat liver. SSU72 antibody [N1C3] (GTX116436) diluted at 1:500.
Antigen Retrieval: Citrate buffer, pH 6.0, 15 min SSU72 antibody [N1C3] detects SSU72 protein at cytoplasm in rat liver by immunohistochemical analysis. Sample: Paraffin-embedded rat liver. SSU72 antibody [N1C3] (GTX116436) diluted at 1:500.
Antigen Retrieval: Citrate buffer, pH 6.0, 15 min](https://www.genetex.com/upload/website/prouct_img/normal/GTX116436/GTX116436_40653_20160120_IHC-P_R_w_23060519_688.webp)
![Mouse tissue extract (50 μg) was separated by 12% SDS-PAGE, and the membrane was blotted with SSU72 antibody [N1C3] (GTX116436) diluted at 1:1000. Mouse tissue extract (50 μg) was separated by 12% SDS-PAGE, and the membrane was blotted with SSU72 antibody [N1C3] (GTX116436) diluted at 1:1000.](https://www.genetex.com/upload/website/prouct_img/normal/GTX116436/GTX116436_40653_20170126_WB_M_placenta_w_23060519_958.webp)




