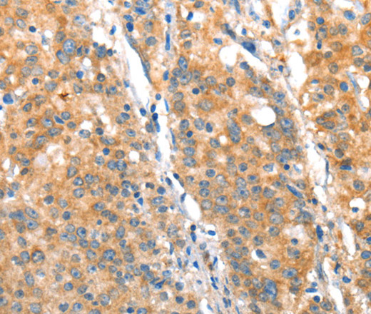
Immunohistochemistry of paraffin-embedded Human gasrtic cancer tissue using ST14 Polyclonal Antibody at dilution 1:70
ST14 Polyclonal Antibody
E-AB-10449
ApplicationsImmunoHistoChemistry
Product group Antibodies
TargetST14
Overview
- SupplierElabscience
- Product NameST14 Polyclonal Antibody
- Delivery Days Customer12
- ApplicationsImmunoHistoChemistry
- Applications SupplierELISA IHC
- CertificationResearch Use Only
- ClonalityPolyclonal
- Concentration1 mg/ml
- ConjugateUnconjugated
- Gene ID6768
- Target nameST14
- Target descriptionST14 transmembrane serine protease matriptase
- Target synonymsARCI11, CAP3, HAI, MT-SP1, MTSP1, PRSS14, SNC19, TADG15, TMPRSS14, suppressor of tumorigenicity 14 protein, channel-activating protein 3, membrane-type serine protease 1, prostamin, serine protease 14, serine protease TADG-15, suppression of tumorigenicity 14 (colon carcinoma), suppression of tumorigenicity 14 (colon carcinoma, matriptase, epithin), tumor associated differentially expressed gene 15 protein
- HostRabbit
- IsotypeIgG
- Protein IDQ9Y5Y6
- Protein NameSuppressor of tumorigenicity 14 protein
- Scientific DescriptionThe protein encoded by this gene is an epithelial-derived, integral membrane serine protease. This protease forms a complex with the Kunitz-type serine protease inhibitor, HAI-1, and is found to be activated by sphingosine 1-phosphate. This protease has been shown to cleave and activate hepatocyte growth factor/scattering factor, and urokinase plasminogen activator, which suggest the function of this protease as an epithelial membrane activator for other proteases and latent growth factors.
- Storage Instruction-20°C
- UNSPSC41116161




![Whole cell extract (30 μg) was separated by 7.5% SDS-PAGE, and the membrane was blotted with Matriptase / ST14 antibody [M24] (GTX02803) diluted at 1:1000. The HRP-conjugated anti-mouse IgG antibody (GTX213111-01) was used to detect the primary antibody, and the signal was developed with Trident femto Western HRP Substrate.](https://www.genetex.com/upload/website/prouct_img/normal/GTX02803/GTX02803_20201204_WB_w_23053122_788.webp)

