![IHC-P analysis of breast tissue using GTX83549 STAT3 antibody [21E7]. Antigen retrieval : Heat-induced epitope retrieval by 10mM citrate buffer, pH6.0, 100oC for 10min. Dilution : 1:150 IHC-P analysis of breast tissue using GTX83549 STAT3 antibody [21E7]. Antigen retrieval : Heat-induced epitope retrieval by 10mM citrate buffer, pH6.0, 100oC for 10min. Dilution : 1:150](https://www.genetex.com/upload/website/prouct_img/normal/GTX83549/GTX83549_1566_IHC-P_w_23061420_743.webp)
IHC-P analysis of breast tissue using GTX83549 STAT3 antibody [21E7]. Antigen retrieval : Heat-induced epitope retrieval by 10mM citrate buffer, pH6.0, 100oC for 10min. Dilution : 1:150
STAT3 antibody [21E7]
GTX83549
ApplicationsWestern Blot, ImmunoHistoChemistry, ImmunoHistoChemistry Paraffin
Product group Antibodies
ReactivityCanine, Human, Mouse, Rat
TargetSTAT3
Overview
- SupplierGeneTex
- Product NameSTAT3 antibody [21E7]
- Delivery Days Customer9
- Application Supplier NoteWB: 1:500. IHC-P: 1:50. *Optimal dilutions/concentrations should be determined by the researcher.Not tested in other applications.
- ApplicationsWestern Blot, ImmunoHistoChemistry, ImmunoHistoChemistry Paraffin
- CertificationResearch Use Only
- ClonalityMonoclonal
- Concentration0.35 mg/ml
- ConjugateUnconjugated
- Gene ID6774
- Target nameSTAT3
- Target descriptionsignal transducer and activator of transcription 3
- Target synonymsADMIO, ADMIO1, APRF, HIES, signal transducer and activator of transcription 3, DNA-binding protein APRF, acute-phase response factor
- HostMouse
- IsotypeIgG1
- Protein IDP40763
- Protein NameSignal transducer and activator of transcription 3
- Scientific DescriptionTranscription factor that binds to the interleukin-6 (IL-6)-responsive elements identified in the promoters of various acute-phase protein genes. Activated by IL31 through IL31RA.
- ReactivityCanine, Human, Mouse, Rat
- Storage Instruction-20°C or -80°C,2°C to 8°C
- UNSPSC12352203
![IHC-P analysis of kidney carcinoma tissue using GTX83549 STAT3 antibody [21E7]. Antigen retrieval : Heat-induced epitope retrieval by 10mM citrate buffer, pH6.0, 100oC for 10min. Dilution : 1:150 IHC-P analysis of kidney carcinoma tissue using GTX83549 STAT3 antibody [21E7]. Antigen retrieval : Heat-induced epitope retrieval by 10mM citrate buffer, pH6.0, 100oC for 10min. Dilution : 1:150](https://www.genetex.com/upload/website/prouct_img/normal/GTX83549/GTX83549_1567_IHC-P_w_23061420_181.webp)
![IHC-P analysis of lung carcinoma tissue using GTX83549 STAT3 antibody [21E7]. Antigen retrieval : Heat-induced epitope retrieval by 10mM citrate buffer, pH6.0, 100oC for 10min. Dilution : 1:150 IHC-P analysis of lung carcinoma tissue using GTX83549 STAT3 antibody [21E7]. Antigen retrieval : Heat-induced epitope retrieval by 10mM citrate buffer, pH6.0, 100oC for 10min. Dilution : 1:150](https://www.genetex.com/upload/website/prouct_img/normal/GTX83549/GTX83549_1568_IHC-P_w_23061419_600.webp)
![IHC-P analysis of pancreas carcinoma tissue using GTX83549 STAT3 antibody [21E7]. Antigen retrieval : Heat-induced epitope retrieval by 10mM citrate buffer, pH6.0, 100oC for 10min. Dilution : 1:150 IHC-P analysis of pancreas carcinoma tissue using GTX83549 STAT3 antibody [21E7]. Antigen retrieval : Heat-induced epitope retrieval by 10mM citrate buffer, pH6.0, 100oC for 10min. Dilution : 1:150](https://www.genetex.com/upload/website/prouct_img/normal/GTX83549/GTX83549_1569_IHC-P_w_23061420_979.webp)
![IHC-P analysis of colon tissue using GTX83549 STAT3 antibody [21E7]. Antigen retrieval : Heat-induced epitope retrieval by 10mM citrate buffer, pH6.0, 100oC for 10min. Dilution : 1:150 IHC-P analysis of colon tissue using GTX83549 STAT3 antibody [21E7]. Antigen retrieval : Heat-induced epitope retrieval by 10mM citrate buffer, pH6.0, 100oC for 10min. Dilution : 1:150](https://www.genetex.com/upload/website/prouct_img/normal/GTX83549/GTX83549_1570_IHC-P_w_23061420_607.webp)
![IHC-P analysis of kidney tissue using GTX83549 STAT3 antibody [21E7]. Antigen retrieval : Heat-induced epitope retrieval by 10mM citrate buffer, pH6.0, 100oC for 10min. Dilution : 1:150 IHC-P analysis of kidney tissue using GTX83549 STAT3 antibody [21E7]. Antigen retrieval : Heat-induced epitope retrieval by 10mM citrate buffer, pH6.0, 100oC for 10min. Dilution : 1:150](https://www.genetex.com/upload/website/prouct_img/normal/GTX83549/GTX83549_1571_IHC-P_w_23061420_791.webp)
![IHC-P analysis of lung tissue using GTX83549 STAT3 antibody [21E7]. Antigen retrieval : Heat-induced epitope retrieval by 10mM citrate buffer, pH6.0, 100oC for 10min. Dilution : 1:150 IHC-P analysis of lung tissue using GTX83549 STAT3 antibody [21E7]. Antigen retrieval : Heat-induced epitope retrieval by 10mM citrate buffer, pH6.0, 100oC for 10min. Dilution : 1:150](https://www.genetex.com/upload/website/prouct_img/normal/GTX83549/GTX83549_1572_IHC-P_w_23061420_832.webp)
![IHC-P analysis of thyroid tissue using GTX83549 STAT3 antibody [21E7]. Antigen retrieval : Heat-induced epitope retrieval by 10mM citrate buffer, pH6.0, 100oC for 10min. Dilution : 1:150 IHC-P analysis of thyroid tissue using GTX83549 STAT3 antibody [21E7]. Antigen retrieval : Heat-induced epitope retrieval by 10mM citrate buffer, pH6.0, 100oC for 10min. Dilution : 1:150](https://www.genetex.com/upload/website/prouct_img/normal/GTX83549/GTX83549_1573_IHC-P_w_23061420_890.webp)
![WB analysis of various cell lines using GTX83549 STAT3 antibody [21E7]. Loading : 35 ug per lane Dilution : 1:500 WB analysis of various cell lines using GTX83549 STAT3 antibody [21E7]. Loading : 35 ug per lane Dilution : 1:500](https://www.genetex.com/upload/website/prouct_img/normal/GTX83549/GTX83549_3596_WB_w_23061420_284.webp)
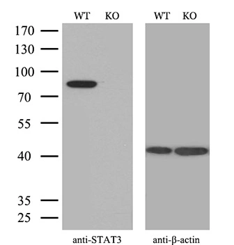
![WB analysis of wild type and STAT3 knock out HeLa cell lysate(10microg per lane) using GTX83549 STAT3 antibody [21E7]. Dilution : 1:500 WB analysis of wild type and STAT3 knock out HeLa cell lysate(10microg per lane) using GTX83549 STAT3 antibody [21E7]. Dilution : 1:500](https://www.genetex.com/upload/website/prouct_img/normal/GTX83549/GTX83549_3719_20181228_WB_w_23061420_711.webp)





![ICC/IF analysis of HeLa cells using GTX82752 STAT3 antibody [3B5]. Green : STAT3 Blue: DRAQ5 fluorescent DNA dye Red: Actin filaments](https://www.genetex.com/upload/website/prouct_img/normal/GTX82752/GTX82752_20170912_ICCIF_w_23061322_468.webp)
![IHC-P analysis of human Liver tissue using GTX83103 STAT3 antibody [7G3H4].](https://www.genetex.com/upload/website/prouct_img/normal/GTX83103/GTX83103_20170912_IHC-P_w_23061322_613.webp)


