
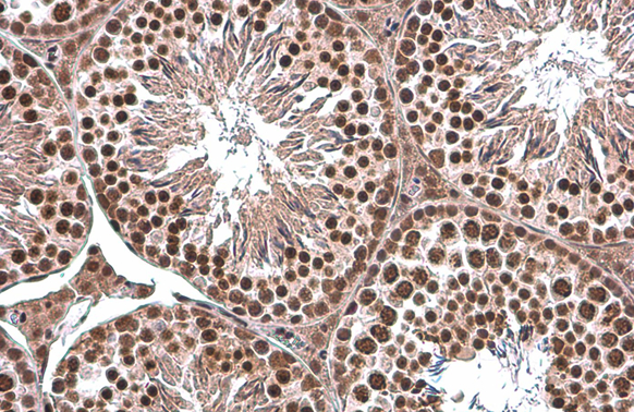
TBP antibody detects TBP protein at nucleus by immunohistochemical analysis. Sample: Paraffin-embedded rat testis. TBP stained by TBP antibody (GTX133204) diluted at 1:500. Antigen Retrieval: Citrate buffer, pH 6.0, 15 min
TBP antibody
GTX133204
ApplicationsWestern Blot, ImmunoHistoChemistry, ImmunoHistoChemistry Paraffin
Product group Antibodies
ReactivityHuman, Mouse, Rat
TargetTBP
Overview
- SupplierGeneTex
- Product NameTBP antibody
- Delivery Days Customer9
- Application Supplier NoteWB: 1:500-1:3000. IHC-P: 1:100-1:1000. *Optimal dilutions/concentrations should be determined by the researcher.Not tested in other applications.
- ApplicationsWestern Blot, ImmunoHistoChemistry, ImmunoHistoChemistry Paraffin
- CertificationResearch Use Only
- ClonalityPolyclonal
- Concentration0.82 mg/ml
- ConjugateUnconjugated
- Gene ID6908
- Target nameTBP
- Target descriptionTATA-box binding protein
- Target synonymsGTF2D, GTF2D1, HDL4, SCA17, TBP1, TFIID, TATA-box-binding protein, TATA sequence-binding protein, TATA-box binding protein N-terminal domain, TATA-box factor, transcription initiation factor TFIID TBP subunit
- HostRabbit
- IsotypeIgG
- Protein IDP20226
- Protein NameTATA-box-binding protein
- Scientific DescriptionInitiation of transcription by RNA polymerase II requires the activities of more than 70 polypeptides. The protein that coordinates these activities is transcription factor IID (TFIID), which binds to the core promoter to position the polymerase properly, serves as the scaffold for assembly of the remainder of the transcription complex, and acts as a channel for regulatory signals. TFIID is composed of the TATA-binding protein (TBP) and a group of evolutionarily conserved proteins known as TBP-associated factors or TAFs. TAFs may participate in basal transcription, serve as coactivators, function in promoter recognition or modify general transcription factors (GTFs) to facilitate complex assembly and transcription initiation. This gene encodes TBP, the TATA-binding protein. A distinctive feature of TBP is a long string of glutamines in the N-terminal. This region of the protein modulates the DNA binding activity of the C terminus, and modulation of DNA binding affects the rate of transcription complex formation and initiation of transcription. Mutations that expand the number of CAG repeats encoding this polyglutamine tract, and thus increase the length of the polyglutamine string, are associated with spinocerebellar ataxia 17, a neurodegenerative disorder classified as a polyglutamine disease. [provided by RefSeq]
- ReactivityHuman, Mouse, Rat
- Storage Instruction-20°C or -80°C,2°C to 8°C
- UNSPSC12352203
References
- Hee SW, Chang YC, Su L, et al. 15-keto-PGE(2) alleviates nonalcoholic steatohepatitis through its covalent modification of NF-κB factors. iScience. 2023,26(10):107997. doi: 10.1016/j.isci.2023.107997Read this paper
- Biswas S, Mahapatra E, Ghosh A, et al. Curcumin Rescues Doxorubicin Responsiveness via Regulating Aurora a Signaling Network in Breast Cancer Cells. Asian Pac J Cancer Prev. 2021,22(3):957-970. doi: 10.31557/APJCP.2021.22.3.957Read this paper










![WB analysis of ecombinant human TATA Binding Protein, HeLa cell nuclear extract (A), and TBP protein fragment lysate (B) using GTX20818 TBP antibody [1TBP18]. Dilution : 2μg/ml](https://www.genetex.com/upload/website/prouct_img/normal/GTX20818/GTX20818_WB_w_23060620_601.webp)

![IHC-P analysis of mouse kidney tissue using GTX34254 TBP antibody [1F6]. Dilution : 1:200](https://www.genetex.com/upload/website/prouct_img/normal/GTX34254/GTX34254_20200622_IHC-P_390_w_23060801_421.webp)