
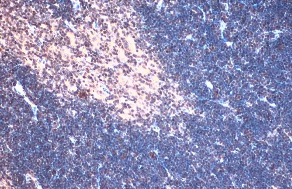
TCF7 antibody detects TCF7 protein at nucleus by immunohistochemical analysis. Sample: Paraffin-embedded rat thymus gland. TCF7 stained by TCF7 antibody (GTX113851) diluted at 1:500. Antigen Retrieval: Citrate buffer, pH 6.0, 15 min
TCF7 antibody
GTX113851
ApplicationsImmunoPrecipitation, Western Blot, ImmunoHistoChemistry, ImmunoHistoChemistry Paraffin
Product group Antibodies
ReactivityHuman, Mouse, Rat
TargetTCF7
Overview
- SupplierGeneTex
- Product NameTCF7 antibody
- Delivery Days Customer9
- Application Supplier NoteWB: 1:500-1:3000. IP: 1:100-1:500. *Optimal dilutions/concentrations should be determined by the researcher.Not tested in other applications.
- ApplicationsImmunoPrecipitation, Western Blot, ImmunoHistoChemistry, ImmunoHistoChemistry Paraffin
- CertificationResearch Use Only
- ClonalityPolyclonal
- Concentration1 mg/ml
- ConjugateUnconjugated
- Gene ID6932
- Target nameTCF7
- Target descriptiontranscription factor 7
- Target synonymsTCF-1, transcription factor 7, T-cell-factor-7, T-cell-specific transcription factor 1, transcription factor 7 (T-cell specific, HMG-box)
- HostRabbit
- IsotypeIgG
- Protein IDP36402
- Protein NameTranscription factor 7
- Scientific DescriptionTranscriptional activator involved in T-cell lymphocyte differentiation. Necessary for the survival of CD4(+) CD8(+) immature thymocytes. Isoforms lacking the N-terminal CTNNB1 binding domain cannot fulfill this role. Binds to the T-lymphocyte-specific enhancer element (5-WWCAAAG-3) found in the promoter of the CD3E gene. May also act as feedback transcriptional repressor of CTNNB1 and TCF7L2 target genes. TLE1, TLE2, TLE3 and TLE4 repress transactivation mediated by TCF7 and CTNNB1.
- ReactivityHuman, Mouse, Rat
- Storage Instruction-20°C or -80°C,2°C to 8°C
- UNSPSC41116161








