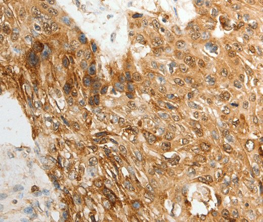
Immunohistochemistry of paraffin-embedded Human esophagus cancer tissue using TENM3 Polyclonal Antibody at dilution 1:50
TENM3 Polyclonal Antibody
E-AB-16090
Product group Antibodies
Overview
- SupplierElabscience
- Product NameTENM3 Polyclonal Antibody
- Delivery Days Customer12
- Applications SupplierELISA IHC
- CertificationResearch Use Only
- Concentration0.3mg/ml
- Scientific DescriptionThis protein involved in neural development, regulating the establishment of proper connectivity within the nervous system. It promotes axon guidance and homophilic cell adhesion. And it plays a role in the development of the visual pathway; regulates the formation in ipsilateral retinal mapping to both the dorsal lateral geniculate nucleus (dLGN) and the superior colliculus (SC). May be involved in the differentiation of the fibroblast-like cells in the superficial layer of mandibular condylar cartilage into chondrocytes.
- UNSPSC12352203







