
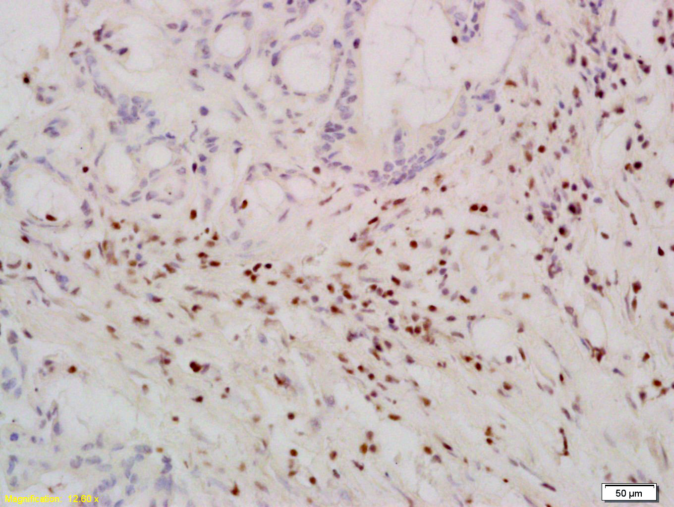
Paraformaldehyde-fixed, paraffin embedded Rat Liver; Antigen retrieval by boiling in sodium citrate buffer (pH6.0) for 15min; Block endogenous peroxidase by 3% hydrogen peroxide for 20 minutes; Blocking buffer (normal goat serum) at 37°C for 30min; Antibody incubation with TERT Polyclonal Antibody, Unconjugated (bs-0233R) at 1:400 overnight at 4°C, DAB staining.
TERT Polyclonal Antibody
BS-0233R
ApplicationsFlow Cytometry, ImmunoFluorescence, Western Blot, ELISA, ImmunoCytoChemistry, ImmunoHistoChemistry, ImmunoHistoChemistry Frozen, ImmunoHistoChemistry Paraffin
Product group Antibodies
ReactivityHuman, Mouse, Rat
TargetTERT
Overview
- SupplierBioss
- Product NameTERT Polyclonal Antibody
- Delivery Days Customer16
- ApplicationsFlow Cytometry, ImmunoFluorescence, Western Blot, ELISA, ImmunoCytoChemistry, ImmunoHistoChemistry, ImmunoHistoChemistry Frozen, ImmunoHistoChemistry Paraffin
- Applications SupplierWB(1:300-5000), ELISA(1:500-1000), FCM(1:20-100), IHC-P(1:200-400), IHC-F(1:100-500), IF(IHC-P)(1:50-200), IF(IHC-F)(1:50-200), IF(ICC)(1:50-200)
- CertificationResearch Use Only
- ClonalityPolyclonal
- Concentration1 ug/ul
- ConjugateUnconjugated
- Gene ID7015
- Target nameTERT
- Target descriptiontelomerase reverse transcriptase
- Target synonymsCMM9, DKCA2, DKCB4, EST2, PFBMFT1, TCS1, TP2, TRT, hEST2, hTRT, telomerase reverse transcriptase, telomerase catalytic subunit, telomerase-associated protein 2
- HostRabbit
- IsotypeIgG
- Protein IDO14746
- Protein NameTelomerase reverse transcriptase
- ReactivityHuman, Mouse, Rat
- Storage Instruction-20°C
- UNSPSC41116161
References
- Chronic sleep fragmentation induces endothelial dysfunction and structural vascular changes in mice. Carreras A et al., 2014 Nov 1, SleepRead this paper












