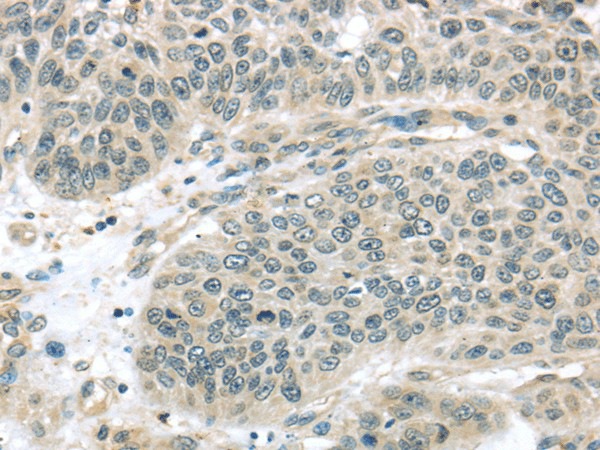
Immunohistochemistry of paraffin-embedded Human lung cancer using THAP4 Polyclonal Antibody at dilution of 1/30
THAP4 Polyclonal Antibody
E-AB-17066
Product group Antibodies
Overview
- SupplierElabscience
- Product NameTHAP4 Polyclonal Antibody
- Delivery Days Customer12
- CertificationResearch Use Only
- Scientific DescriptionTHAP domain-containing protein 4is aproteinthat in humans is encoded by theTHAP4gene.
- UNSPSC12352203





