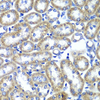
Immunohistochemistry of paraffin-embedded Rat kidney using TMED10 Polyclonal Antibody at dilution of 1:100 (40x lens).
TMED10 Polyclonal Antibody
E-AB-61352
Product group Antibodies
Overview
- SupplierElabscience
- Product NameTMED10 Polyclonal Antibody
- Delivery Days Customer12
- CertificationResearch Use Only
- Scientific DescriptionThis gene is a member of the EMP24/GP25L/p24 family and encodes a protein with a GOLD domain. This type I membrane protein is localized to the plasma membrane and golgi cisternae and is involved in vesicular protein trafficking. The protein is also a member of a heteromeric secretase complex and regulates the complexs gamma-secretase activity without affecting its epsilon-secretase activity. Mutations in this gene have been associated with early-onset familial Alzheimers disease. This gene has a pseudogene on chromosome 8.
- UNSPSC12352203






