
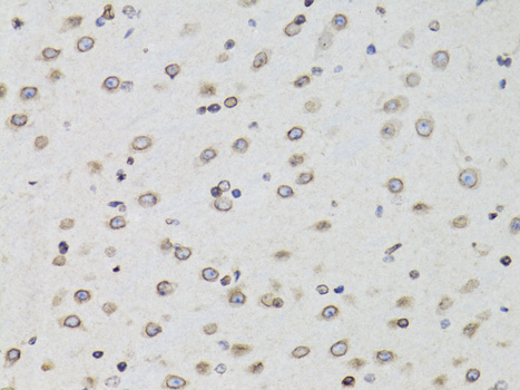
Paraformaldehyde-fixed, paraffin embedded Rat brain; Antigen retrieval by boiling in sodium citrate buffer (pH6.0) for 15min; Block endogenous peroxidase by 3% hydrogen peroxide for 20 minutes; Blocking buffer (normal goat serum) at 37°C for 30min; Antibody incubation with TMPO Polyclonal Antibody, Unconjugated (bs-55216R) at 1:100 overnight at 4°C, DAB staining.
TMPO Polyclonal Antibody
BS-55216R
ApplicationsImmunoFluorescence, Western Blot, ImmunoHistoChemistry, ImmunoHistoChemistry Paraffin
Product group Antibodies
TargetTMPO
Overview
- SupplierBioss
- Product NameTMPO Polyclonal Antibody
- Delivery Days Customer16
- ApplicationsImmunoFluorescence, Western Blot, ImmunoHistoChemistry, ImmunoHistoChemistry Paraffin
- Applications SupplierWB(1:300-5000), IHC-P(1:200-400), IHC(), IF()
- CertificationResearch Use Only
- ClonalityPolyclonal
- Concentration1 ug/ul
- ConjugateUnconjugated
- Gene ID7112
- Target nameTMPO
- Target descriptionthymopoietin
- Target synonymsCMD1T, LAP2, LEMD4, PRO0868, TP, thymopoietin, LEM domain containing 4, lamina-associated polypeptide 2
- HostRabbit
- IsotypeIgG
- Protein IDP42166
- Protein NameLamina-associated polypeptide 2, isoform alpha
- Storage Instruction-20°C
- UNSPSC12352203










