
Immunohistochemical analysis of paraffin-embedded human ovarian cancer, using Topoisomerase II beta(GTX102640) antibody at 1:250 dilution.
Antigen Retrieval: Trilogy? (EDTA based, pH 8.0) buffer, 15min
Topoisomerase II beta antibody [C3], C-term
GTX102640
ApplicationsImmunoFluorescence, ImmunoPrecipitation, Western Blot, ImmunoCytoChemistry, ImmunoHistoChemistry, ImmunoHistoChemistry Paraffin
Product group Antibodies
ReactivityHuman, Mouse, Rat
TargetTOP2B
Overview
- SupplierGeneTex
- Product NameTopoisomerase II beta antibody [C3], C-term
- Delivery Days Customer9
- Application Supplier NoteWB: 1:500-1:3000. ICC/IF: 1:100-1:1000. IHC-P: 1:100-1:1000. IP: 1:100-1:500. *Optimal dilutions/concentrations should be determined by the researcher.Not tested in other applications.
- ApplicationsImmunoFluorescence, ImmunoPrecipitation, Western Blot, ImmunoCytoChemistry, ImmunoHistoChemistry, ImmunoHistoChemistry Paraffin
- CertificationResearch Use Only
- ClonalityPolyclonal
- Concentration0.48 mg/ml
- ConjugateUnconjugated
- Gene ID7155
- Target nameTOP2B
- Target descriptionDNA topoisomerase II beta
- Target synonymsBILU, TOPIIB, top2beta, DNA topoisomerase 2-beta, DNA topoisomerase II, 180 kD, DNA topoisomerase II, beta isozyme, U937 associated antigen, antigen MLAA-44, topo II beta, topoisomerase (DNA) II beta 180kDa, topoisomerase II beta, topoisomerase IIb
- HostRabbit
- IsotypeIgG
- Protein IDQ02880
- Protein NameDNA topoisomerase 2-beta
- Scientific DescriptionThis gene encodes a DNA topoisomerase, an enzyme that controls and alters the topologic states of DNA during transcription. This nuclear enzyme is involved in processes such as chromosome condensation, chromatid separation, and the relief of torsional stress that occurs during DNA transcription and replication. It catalyzes the transient breaking and rejoining of two strands of duplex DNA which allows the strands to pass through one another, thus altering the topology of DNA. Two forms of this enzyme exist as likely products of a gene duplication event. The gene encoding this form, beta, is localized to chromosome 3 and the alpha form is localized to chromosome 17. The gene encoding this enzyme functions as the target for several anticancer agents and a variety of mutations in this gene have been associated with the development of drug resistance. Reduced activity of this enzyme may also play a role in ataxia-telangiectasia. Alternative splicing of this gene results in two transcript variants; however, the second variant has not yet been fully described. [provided by RefSeq]
- ReactivityHuman, Mouse, Rat
- Storage Instruction-20°C or -80°C,2°C to 8°C
- UNSPSC12352203
References
- Chen JC, Hsieh YY, Lo HL, et al. In Vitro and In Silico Mechanistic Insights into miR-21-5p-Mediated Topoisomerase Drug Resistance in Human Colorectal Cancer Cells. Biomolecules. 2019,9(9). doi: 10.3390/biom9090467Read this paper
- Liu TP, Hsieh YY, Chou CJ, et al. Systematic polypharmacology and drug repurposing via an integrated L1000-based Connectivity Map database mining. R Soc Open Sci. 2018,5(11):181321. doi: 10.1098/rsos.181321Read this paper
- Hangas A, Aasumets K, Kekäläinen NJ, et al. Ciprofloxacin impairs mitochondrial DNA replication initiation through inhibition of Topoisomerase 2. Nucleic Acids Res. 2018,46(18):9625-9636. doi: 10.1093/nar/gky793Read this paper
![Various whole cell extracts (30 μg) were separated by 5% SDS-PAGE, and the membrane was blotted with Topoisomerase II beta antibody [C3], C-term (GTX102640) diluted at 1:3000. The HRP-conjugated anti-rabbit IgG antibody (GTX213110-01) was used to detect the primary antibody. Various whole cell extracts (30 μg) were separated by 5% SDS-PAGE, and the membrane was blotted with Topoisomerase II beta antibody [C3], C-term (GTX102640) diluted at 1:3000. The HRP-conjugated anti-rabbit IgG antibody (GTX213110-01) was used to detect the primary antibody.](https://www.genetex.com/upload/website/prouct_img/normal/GTX102640/GTX102640_43236_20180615_WB_w_23060119_538.webp)
![Topoisomerase II beta antibody [C3], C-term detects Topoisomerase II beta protein at nucleus by immunofluorescent analysis. Sample: HeLa cells were fixed in 4% paraformaldehyde at RT for 15 min. Green: Topoisomerase II beta stained by Topoisomerase II beta antibody [C3], C-term (GTX102640) diluted at 1:500. Red: phalloidin, a cytoskeleton marker, diluted at 1:100. Scale bar= 10 μm. Topoisomerase II beta antibody [C3], C-term detects Topoisomerase II beta protein at nucleus by immunofluorescent analysis. Sample: HeLa cells were fixed in 4% paraformaldehyde at RT for 15 min. Green: Topoisomerase II beta stained by Topoisomerase II beta antibody [C3], C-term (GTX102640) diluted at 1:500. Red: phalloidin, a cytoskeleton marker, diluted at 1:100. Scale bar= 10 μm.](https://www.genetex.com/upload/website/prouct_img/normal/GTX102640/GTX102640_43237_20180905_ICC_IF_w_23060119_668.webp)


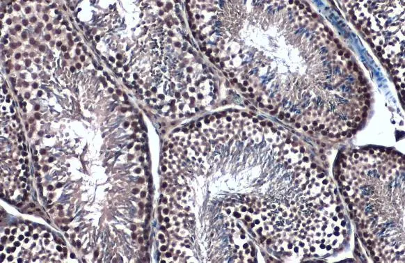
![Topoisomerase II beta antibody [C3], C-term detects Topoisomerase II beta protein at nucleus by immunohistochemical analysis. Sample: Paraffin-embedded rat testis. Topoisomerase II beta stained by Topoisomerase II beta antibody [C3], C-term (GTX102640) diluted at 1:500. Antigen Retrieval: Citrate buffer, pH 6.0, 15 min Topoisomerase II beta antibody [C3], C-term detects Topoisomerase II beta protein at nucleus by immunohistochemical analysis. Sample: Paraffin-embedded rat testis. Topoisomerase II beta stained by Topoisomerase II beta antibody [C3], C-term (GTX102640) diluted at 1:500. Antigen Retrieval: Citrate buffer, pH 6.0, 15 min](https://www.genetex.com/upload/website/prouct_img/normal/GTX102640/GTX102640_43237_20191220_IHC-P_R_w_23060119_319.webp)
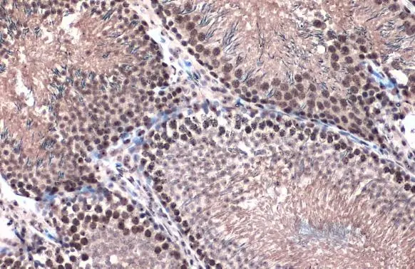
![Topoisomerase II beta antibody [C3], C-term detects Topoisomerase II beta protein at nucleus by immunohistochemical analysis. Sample: Paraffin-embedded mouse testis. Topoisomerase II beta stained by Topoisomerase II beta antibody [C3], C-term (GTX102640) diluted at 1:500. Antigen Retrieval: Citrate buffer, pH 6.0, 15 min Topoisomerase II beta antibody [C3], C-term detects Topoisomerase II beta protein at nucleus by immunohistochemical analysis. Sample: Paraffin-embedded mouse testis. Topoisomerase II beta stained by Topoisomerase II beta antibody [C3], C-term (GTX102640) diluted at 1:500. Antigen Retrieval: Citrate buffer, pH 6.0, 15 min](https://www.genetex.com/upload/website/prouct_img/normal/GTX102640/GTX102640_43237_20191220_IHC-P_M_w_23060119_679.webp)
![Topoisomerase II beta antibody [C3], C-term detects Topoisomerase II beta protein at nucleus by immunohistochemical analysis. Sample: Paraffin-embedded mouse brain. Topoisomerase II beta stained by Topoisomerase II beta antibody [C3], C-term (GTX102640) diluted at 1:500. Antigen Retrieval: Citrate buffer, pH 6.0, 15 min Topoisomerase II beta antibody [C3], C-term detects Topoisomerase II beta protein at nucleus by immunohistochemical analysis. Sample: Paraffin-embedded mouse brain. Topoisomerase II beta stained by Topoisomerase II beta antibody [C3], C-term (GTX102640) diluted at 1:500. Antigen Retrieval: Citrate buffer, pH 6.0, 15 min](https://www.genetex.com/upload/website/prouct_img/normal/GTX102640/GTX102640_43236_20191220_IHC-P_M_w_23060119_564.webp)






