
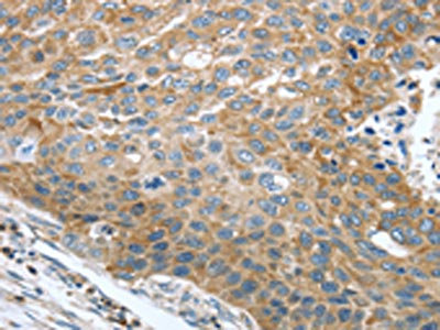
The image on the left is immunohistochemistry of paraffin-embedded Human liver cancer tissue using CSB-PA634052(TRAK1 Antibody) at dilution 1/25, on the right is treated with fusion protein. (Original magnification: x200)
TRAK1 Antibody
CSB-PA634052
ApplicationsELISA, ImmunoHistoChemistry
Product group Antibodies
ReactivityHuman
TargetTRAK1
Overview
- SupplierCusabio
- Product NameTRAK1 Antibody
- Delivery Days Customer20
- ApplicationsELISA, ImmunoHistoChemistry
- CertificationResearch Use Only
- ClonalityPolyclonal
- ConjugateUnconjugated
- Gene ID22906
- Target nameTRAK1
- Target descriptiontrafficking kinesin protein 1
- Target synonymsDEE68, EIEE68, MILT1, OIP106, trafficking kinesin-binding protein 1, 106 kDa O-GlcNAc transferase-interacting protein, O-linked N-acetylglucosamine transferase interacting protein 106, OGT(O-Glc-NAc transferase)-interacting protein 106 KDa, milton homolog 1, protein Milton, trafficking protein, kinesin binding 1
- HostRabbit
- IsotypeIgG
- Protein IDQ9UPV9
- Protein NameTrafficking kinesin-binding protein 1
- Scientific DescriptionInvolved in the regulation of endosome-to-lysosome trafficking, including endocytic trafficking of EGF-EGFR complexes and GABA-A receptors.
- ReactivityHuman
- Storage Instruction-20°C or -80°C
- UNSPSC41116161







