
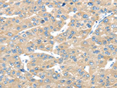
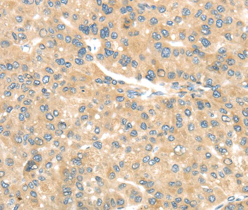
Immunohistochemistry of paraffin-embedded Human liver cancer tissue using TA365093 (TRAK1 Antibody) at dilution 1/20 (Original magnification: x200)
TRAK1 Rabbit Polyclonal Antibody
TA365093

Overview
- SupplierOriGene
- Product NameTRAK1 Rabbit Polyclonal Antibody
- Delivery Days Customer14
- ApplicationsImmunoHistoChemistry
- CertificationResearch Use Only
- ClonalityPolyclonal
- Gene ID22906
- Target nameTRAK1
- Target descriptiontrafficking kinesin protein 1
- Target synonyms106 kDa O-GlcNAc transferase-interacting protein; DEE68; EIEE68; MILT1; milton homolog 1; OGT(O-Glc-NAc transferase)-interacting protein 106 KDa; OIP106; O-linked N-acetylglucosamine transferase interacting protein 106; protein Milton; trafficking kinesin-binding protein 1; trafficking protein, kinesin binding 1
- HostRabbit
- IsotypeIgG
- Protein IDQ9UPV9
- Protein NameTrafficking kinesin-binding protein 1
- Scientific DescriptionTRAK1 rabbit polyclonal antibody
- Storage Instruction-20°C
- UNSPSC12352203