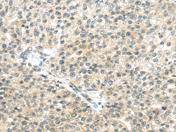
Immunohistochemistry of paraffin-embedded Human breast cancer tissue using TTBK2 Polyclonal Antibody at dilution 1:45
TTBK2 Polyclonal Antibody
E-AB-17479
Product group Antibodies
Overview
- SupplierElabscience
- Product NameTTBK2 Polyclonal Antibody
- Delivery Days Customer12
- CertificationResearch Use Only
- Scientific DescriptionThis gene encodes a serine-threonine kinase that putatively phosphorylates tau and tubulin proteins. Mutations in this gene cause spinocerebellar ataxia type 11 (SCA11); a neurodegenerative disease characterized by progressive ataxia and atrophy of the cerebellum and brainstem.
- UNSPSC12352203




