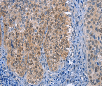
Immunohistochemistry of paraffin-embedded Human cervical cancer tissue using UCK1 Polyclonal Antibody at dilution 1:50
UCK1 Polyclonal Antibody
E-AB-10925
Product group Antibodies
Overview
- SupplierElabscience
- Product NameUCK1 Polyclonal Antibody
- Delivery Days Customer12
- Applications SupplierELISA IHC
- CertificationResearch Use Only
- Concentration0.3mg/ml
- Scientific DescriptionThis gene encodes a uridine-cytidine kinase that catalyzes the phosphorylation of uridine and cytidine to uridine monophosphate (UMP) and cytidine monophosphate (CMP) but not the phosphorylation of deoxyribonucleosides or purine ribonucleosides. This enzyme can also phosphorylate uridine and cytidine analogs and uses both ATP and GTP as a phosphate donor. Alternative splicing results in multiple splice variants encoding distinct isoforms.
- UNSPSC12352203


![FACS analysis of HEK293T cells transfected with either UCK1 plasmid(Red) or empty vector control plasmid(Blue) using GTX83441 UCK1 antibody [5E9].](https://www.genetex.com/upload/website/prouct_img/normal/GTX83441/GTX83441_20_FACS_w_23061419_752.webp)


