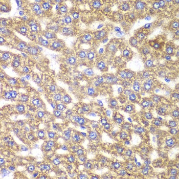
Immunohistochemistry of paraffin-embedded Rat liver using UGDH Polyclonal Antibody at dilution of 1:100 (40x lens).
UGDH Polyclonal Antibody
E-AB-64716
Product group Antibodies
Overview
- SupplierElabscience
- Product NameUGDH Polyclonal Antibody
- Delivery Days Customer12
- CertificationResearch Use Only
- Scientific DescriptionThe protein encoded by this gene converts UDP-glucose to UDP-glucuronate and thereby participates in the biosynthesis of glycosaminoglycans such as hyaluronan, chondroitin sulfate, and heparan sulfate. These glycosylated compounds are common components of the extracellular matrix and likely play roles in signal transduction, cell migration, and cancer growth and metastasis. The expression of this gene is up-regulated by transforming growth factor beta and down-regulated by hypoxia. Alternative splicing results in multiple transcript variants.
- UNSPSC12352203






