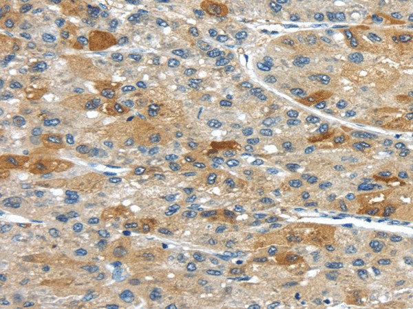
Immunohistochemistry of paraffin-embedded Human liver cancer using UPP2 Polyclonal Antibody at dilution of 1/35
UPP2 Polyclonal Antibody
E-AB-17532
Product group Antibodies
Overview
- SupplierElabscience
- Product NameUPP2 Polyclonal Antibody
- Delivery Days Customer12
- CertificationResearch Use Only
- Scientific DescriptionCatalyzes the reversible phosphorylytic cleavage of uridine and deoxyuridine to uracil and ribose- or deoxyribose-1-phosphate. The produced molecules are then utilized as carbon and energy sources or in the rescue of pyrimidine bases for nucleotide synthesis. Shows substrate specificity and accept uridine, deoxyuridine, and thymidine as well as the two pyrimidine nucleoside analogs 5-fluorouridine and 5-fluoro-2()-deoxyuridine as substrates.
- UNSPSC12352203





