USP40 (G-8) HRP
SC-514248HRP
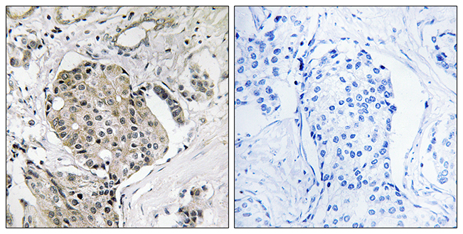
ApplicationsWestern Blot, ELISA, ImmunoHistoChemistry, ImmunoHistoChemistry Paraffin
Product group Antibodies
ReactivityHuman, Mouse, Rat
TargetUSP40
Overview
- SupplierSanta Cruz Biotechnology
- Product NameUSP40 (G-8) HRP
- Delivery Days Customer5
- ApplicationsWestern Blot, ELISA, ImmunoHistoChemistry, ImmunoHistoChemistry Paraffin
- CertificationResearch Use Only
- ClonalityMonoclonal
- ConjugateHRP
- Gene ID55230
- Target nameUSP40
- Target descriptionubiquitin specific peptidase 40
- Target synonymsubiquitin carboxyl-terminal hydrolase 40, deubiquitinating enzyme 40, ubiquitin specific protease 40, ubiquitin thioesterase 40, ubiquitin thiolesterase 40, ubiquitin-specific-processing protease 40
- HostMouse
- IsotypeIgG1
- ReactivityHuman, Mouse, Rat
- Storage Instruction2°C to 8°C
- UNSPSC12352203

