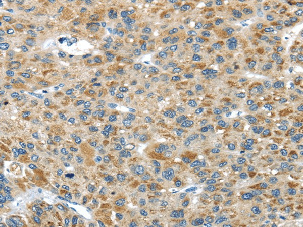
Immunohistochemistry of paraffin-embedded Human liver cancer tissue using USP9X Polyclonal Antibody at dilution 1:40
USP9X Polyclonal Antibody
E-AB-17534
Product group Antibodies
Overview
- SupplierElabscience
- Product NameUSP9X Polyclonal Antibody
- Delivery Days Customer12
- CertificationResearch Use Only
- Scientific DescriptionThis gene is a member of the peptidase C19 family and encodes a protein that is similar to ubiquitin-specific proteases. Though this gene is located on the X chromosome, it escapes X-inactivation. Mutations in this gene have been associated with Turner syndrome. Alternate transcriptional splice variants, encoding different isoforms, have been characterized.
- UNSPSC12352203





