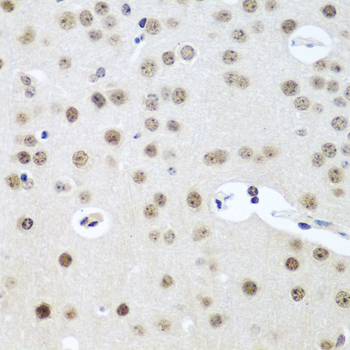
Immunohistochemistry of paraffin-embedded Mouse brain using UTP14A Polyclonal Antibody at dilution of 1:100 (40x lens).
UTP14A Polyclonal Antibody
E-AB-62364
Product group Antibodies
Overview
- SupplierElabscience
- Product NameUTP14A Polyclonal Antibody
- Delivery Days Customer12
- CertificationResearch Use Only
- Scientific DescriptionThis gene encodes a member of the uridine triphosphate 14 family. As an essential component of a large ribonucleoprotein complex bound to the U3 small nucleolar RNA, the encoded protein is involved in ribosome biogenesis and 18S rRNA synthesis. An autosomal retrotransposed copy of this X-linked gene exists on chromosome 13. Alternative splicing results in multiple transcript variants.
- UNSPSC12352203





