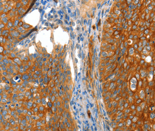
Immunohistochemistry of paraffin-embedded Human cervical cancer tissue using VWA5A Polyclonal Antibody at dilution 1:80
VWA5A Polyclonal Antibody
E-AB-10998
Product group Antibodies
Overview
- SupplierElabscience
- Product NameVWA5A Polyclonal Antibody
- Delivery Days Customer12
- Applications SupplierELISA IHC
- CertificationResearch Use Only
- Concentration0.9mg/ml
- Scientific DescriptionVWA5A (von Willebrand factor A domain containing 5A), also known as BCSC-1 (breast cancer suppressor candidate 1) or LOH11CR2A (loss of heterozygosity 11 chromosomal region 2 gene A protein), is a 786 amino acid protein containing one VIT domain and one VWFA domain. VWA5A is expressed at low levels in various tissues, with no expression found in 80% of tumor cell lines. Likely acting as a tumor suppressor gene, deletion of VWA5A leads to loss of heterozygosity (LOH) in breast and ovarian tumors, and may have an important role as a potential gene therapy target. Abnormal expression of VWA5A may lead to an increase in adhesion of CNE-2L2 cells associated with an increase in expression of E-cadherin, alpha-catenin, and p53, resulting in a decrease of malignant activity in cells with ectopic expression of VWA5A.
- UNSPSC12352203





