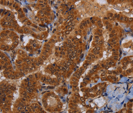
Immunohistochemistry of paraffin-embedded Human thyroid cancer tissue using WDR83 Polyclonal Antibody at dilution 1:60
WDR83 Polyclonal Antibody
E-AB-15188
Product group Antibodies
Overview
- SupplierElabscience
- Product NameWDR83 Polyclonal Antibody
- Delivery Days Customer12
- Applications SupplierELISA IHC
- CertificationResearch Use Only
- Concentration0.5mg/ml
- Scientific DescriptionThis gene encodes a member of the WD-40 protein family. The protein is proposed to function as a molecular scaffold for various multimeric protein complexes. The protein associates with several components of the extracellular signal-regulated kinase (ERK) pathway, and promotes ERK activity in response to serum or other signals. The protein also interacts with egl nine homolog 3 (EGLN3, also known as PHD3) and regulates expression of hypoxia-inducible factor 1, and has been purified as part of the spliceosome. Alternative splicing results in multiple transcript variants.
- UNSPSC12352203







