
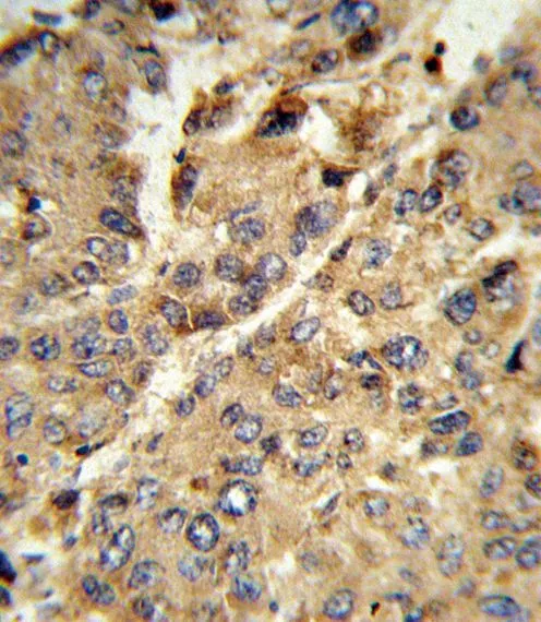
IHC-P analysis of human hepatocarcinoma using GTX80444 Xanthine Oxidase antibody, N-term.
Xanthine Oxidase antibody, N-term
GTX80444
ApplicationsFlow Cytometry, Western Blot, ImmunoHistoChemistry, ImmunoHistoChemistry Paraffin
Product group Antibodies
ReactivityHuman, Mouse
TargetXDH
Overview
- SupplierGeneTex
- Product NameXanthine Oxidase antibody, N-term
- Delivery Days Customer9
- Application Supplier NoteWB: 1:1000. IHC-P: 1:10-1:50. FCM: 1:10-1:50. *Optimal dilutions/concentrations should be determined by the researcher.Not tested in other applications.
- ApplicationsFlow Cytometry, Western Blot, ImmunoHistoChemistry, ImmunoHistoChemistry Paraffin
- CertificationResearch Use Only
- ClonalityPolyclonal
- ConjugateUnconjugated
- Gene ID7498
- Target nameXDH
- Target descriptionxanthine dehydrogenase
- Target synonymsXAN1, XDH/XO, XO, XOR, xanthine dehydrogenase/oxidase, xanthine oxidoreductase
- HostRabbit
- IsotypeIgG
- Protein IDP47989
- Protein NameXanthine dehydrogenase/oxidase
- Scientific DescriptionXanthine dehydrogenase belongs to the group of molybdenum-containing hydroxylases involved in the oxidative metabolism of purines. The encoded protein has been identified as a moonlighting protein based on its ability to perform mechanistically distinct functions. Xanthine dehydrogenase can be converted to xanthine oxidase by reversible sulfhydryl oxidation or by irreversible proteolytic modification. Defects in xanthine dehydrogenase cause xanthinuria, may contribute to adult respiratory stress syndrome, and may potentiate influenza infection through an oxygen metabolite-dependent mechanism. [provided by RefSeq, Jan 2014]
- ReactivityHuman, Mouse
- Storage Instruction-20°C or -80°C,2°C to 8°C
- UNSPSC41116161








![IHC-P analysis of mouse brain tissue section using GTX03231 Xanthine Oxidase antibody [GT1319]. Dilution : 1:100](https://www.genetex.com/upload/website/prouct_img/normal/GTX03231/GTX03231_20210615_IHC-P_99_w_23053123_107.webp)