
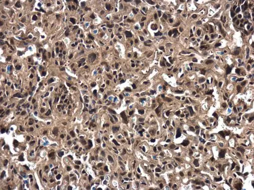
ZFAT antibody detects ZFAT protein at cytoplasm and nucleus in mouse placenta by immunohistochemical analysis. Sample: Paraffin-embedded mouse placenta. ZFAT antibody (GTX122715) diluted at 1:500.
Antigen Retrieval: Citrate buffer, pH 6.0, 15 min
ZFAT antibody
GTX122715
ApplicationsImmunoFluorescence, Western Blot, ImmunoCytoChemistry, ImmunoHistoChemistry, ImmunoHistoChemistry Paraffin
Product group Antibodies
ReactivityHuman, Mouse
TargetZFAT
Overview
- SupplierGeneTex
- Product NameZFAT antibody
- Delivery Days Customer9
- Application Supplier NoteWB: 1:500-1:3000. ICC/IF: 1:100-1:1000. IHC-P: 1:100-1:1000. *Optimal dilutions/concentrations should be determined by the researcher.Not tested in other applications.
- ApplicationsImmunoFluorescence, Western Blot, ImmunoCytoChemistry, ImmunoHistoChemistry, ImmunoHistoChemistry Paraffin
- CertificationResearch Use Only
- ClonalityPolyclonal
- Concentration0.71 mg/ml
- ConjugateUnconjugated
- Gene ID57623
- Target nameZFAT
- Target descriptionzinc finger and AT-hook domain containing
- Target synonymsAITD3, ZFAT1, ZNF406, zinc finger protein ZFAT, zinc finger gene in autoimmune thyroid disease, zinc finger protein 406, zinc-finger gene in AITD susceptibility region
- HostRabbit
- IsotypeIgG
- Protein IDQ9P243
- Protein NameZinc finger protein ZFAT
- Scientific DescriptionThis gene encodes a protein that likely binds DNA and functions as a transcriptional regulator involved in apoptosis and cell survival. This gene resides in a susceptibility locus for autoimmune thyroid disease (AITD) on chromosome 8q24. Alternative splicing results in multiple transcript variants encoding distinct isoforms. [provided by RefSeq]
- ReactivityHuman, Mouse
- Storage Instruction-20°C or -80°C,2°C to 8°C
- UNSPSC12352203




