
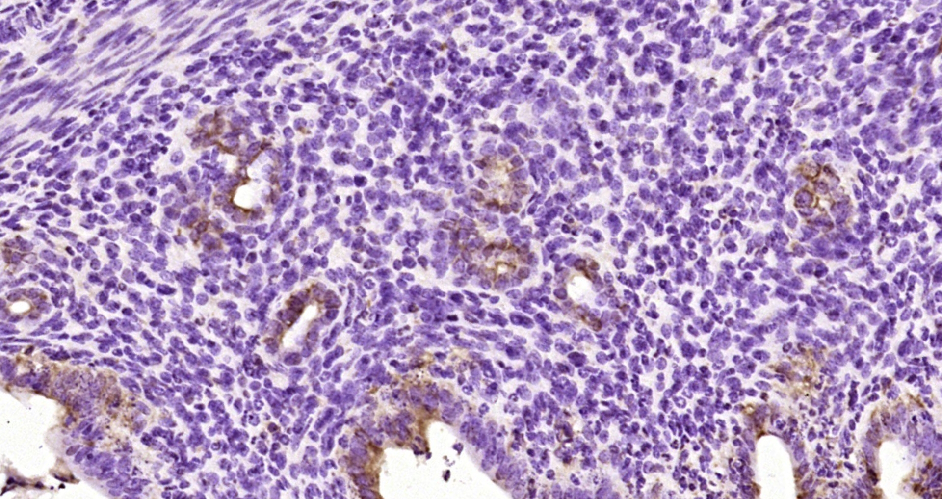
Paraformaldehyde-fixed, paraffin embedded Mouse intestine; Antigen retrieval by boiling in sodium citrate buffer (pH6.0) for 15min; Block endogenous peroxidase by 3% hydrogen peroxide for 20 minutes; Blocking buffer (normal goat serum) at 37°C for 30min; Antibody incubation with ZNF503/NOLZ1 Polyclonal Antibody, Unconjugated (bs-13587R) at 1:200 overnight at 4°C, DAB staining.
ZNF503 Polyclonal Antibody
BS-13587R
ApplicationsImmunoFluorescence, Western Blot, ELISA, ImmunoCytoChemistry, ImmunoHistoChemistry, ImmunoHistoChemistry Frozen, ImmunoHistoChemistry Paraffin
Product group Antibodies
ReactivityBovine, Canine, Chicken, Equine, Human, Mouse, Porcine, Rat
TargetZNF503
Overview
- SupplierBioss
- Product NameZNF503 Polyclonal Antibody
- Delivery Days Customer16
- ApplicationsImmunoFluorescence, Western Blot, ELISA, ImmunoCytoChemistry, ImmunoHistoChemistry, ImmunoHistoChemistry Frozen, ImmunoHistoChemistry Paraffin
- Applications SupplierWB(1:300-5000), ELISA(1:500-1000), IHC-P(1:200-400), IHC-F(1:100-500), IF(IHC-P)(1:50-200), IF(IHC-F)(1:50-200), IF(ICC)(1:50-200)
- CertificationResearch Use Only
- ClonalityPolyclonal
- Concentration1 ug/ul
- ConjugateUnconjugated
- Gene ID84858
- Target nameZNF503
- Target descriptionzinc finger protein 503
- Target synonymsNOLZ-1, NOLZ1, Nlz2, zinc finger protein 503
- HostRabbit
- IsotypeIgG
- Protein IDQ96F45
- Protein NameZinc finger protein 503
- ReactivityBovine, Canine, Chicken, Equine, Human, Mouse, Porcine, Rat
- Storage Instruction-20°C
- UNSPSC41116161



