
Sample (50 μg of whole cell lysate) A: mouse liver 7.5% SDS PAGE GTX114232 diluted at 1:3000 The HRP-conjugated anti-rabbit IgG antibody (GTX213110-01) was used to detect the primary antibody.
ACADVL antibody [N1C1]
GTX114232
ApplicationsImmunoFluorescence, Western Blot, ImmunoCytoChemistry, ImmunoHistoChemistry, ImmunoHistoChemistry Paraffin
Product group Antibodies
ReactivityHuman, Mouse, Rat
TargetACADVL
Overview
- SupplierGeneTex
- Product NameACADVL antibody [N1C1]
- Delivery Days Customer9
- Application Supplier NoteWB: 1:500-1:3000. ICC/IF: 1:100-1:1000. IHC-P: 1:100-1:1000. *Optimal dilutions/concentrations should be determined by the researcher.Not tested in other applications.
- ApplicationsImmunoFluorescence, Western Blot, ImmunoCytoChemistry, ImmunoHistoChemistry, ImmunoHistoChemistry Paraffin
- CertificationResearch Use Only
- ClonalityPolyclonal
- Concentration0.3 mg/ml
- ConjugateUnconjugated
- Gene ID37
- Target nameACADVL
- Target descriptionacyl-CoA dehydrogenase very long chain
- Target synonymsACAD6, LCACD, VLCAD, very long-chain specific acyl-CoA dehydrogenase, mitochondrial, acyl-Coenzyme A dehydrogenase, very long chain
- HostRabbit
- IsotypeIgG
- Protein IDP49748
- Protein NameVery long-chain specific acyl-CoA dehydrogenase, mitochondrial
- Scientific DescriptionThe protein encoded by this gene is targeted to the inner mitochondrial membrane where it catalyzes the first step of the mitochondrial fatty acid beta-oxidation pathway. This acyl-Coenzyme A dehydrogenase is specific to long-chain and very-long-chain fatty acids. A deficiency in this gene product reduces myocardial fatty acid beta-oxidation and is associated with cardiomyopathy. Alternative splicing results in multiple transcript variants encoding different isoforms. [provided by RefSeq]
- ReactivityHuman, Mouse, Rat
- Storage Instruction-20°C or -80°C,2°C to 8°C
- UNSPSC41116161
![ACADVL antibody [N1C1] detects ACADVL protein at cytoplasm by immunohistochemical analysis. Sample: Paraffin-embedded rat liver. ACADVL stained by ACADVL antibody [N1C1] (GTX114232) diluted at 1:500. Antigen Retrieval: Citrate buffer, pH 6.0, 15 min ACADVL antibody [N1C1] detects ACADVL protein at cytoplasm by immunohistochemical analysis. Sample: Paraffin-embedded rat liver. ACADVL stained by ACADVL antibody [N1C1] (GTX114232) diluted at 1:500. Antigen Retrieval: Citrate buffer, pH 6.0, 15 min](https://www.genetex.com/upload/website/prouct_img/normal/GTX114232/GTX114232_43650_20200619_IHC-P_R_w_23060501_116.webp)

![ACADVL antibody [N1C1] detects ACADVL protein at mitochondria by immunohistochemical analysis. Sample: Paraffin-embedded human A549 xenograft. ACADVL antibody [N1C1] (GTX114232) diluted at 1:500.
Antigen Retrieval: Trilogy? (EDTA based, pH 8.0) buffer, 15min ACADVL antibody [N1C1] detects ACADVL protein at mitochondria by immunohistochemical analysis. Sample: Paraffin-embedded human A549 xenograft. ACADVL antibody [N1C1] (GTX114232) diluted at 1:500.
Antigen Retrieval: Trilogy? (EDTA based, pH 8.0) buffer, 15min](https://www.genetex.com/upload/website/prouct_img/normal/GTX114232/GTX114232_40156_20151227_IHC-P_w_23060501_396.webp)
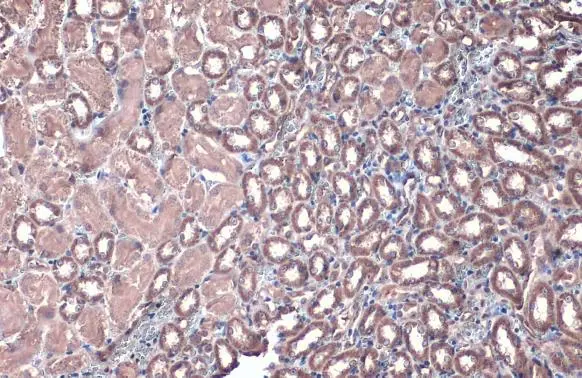
![ACADVL antibody [N1C1] detects ACADVL protein at cytoplasm by immunohistochemical analysis. Sample: Paraffin-embedded mouse kidney. ACADVL stained by ACADVL antibody [N1C1] (GTX114232) diluted at 1:500. Antigen Retrieval: Citrate buffer, pH 6.0, 15 min ACADVL antibody [N1C1] detects ACADVL protein at cytoplasm by immunohistochemical analysis. Sample: Paraffin-embedded mouse kidney. ACADVL stained by ACADVL antibody [N1C1] (GTX114232) diluted at 1:500. Antigen Retrieval: Citrate buffer, pH 6.0, 15 min](https://www.genetex.com/upload/website/prouct_img/normal/GTX114232/GTX114232_43650_20200619_IHC-P_M_w_23060501_332.webp)
![Wild-type (WT) and ACADVL knockout (KO) 293T cell extracts (30 μg) were separated by 7.5% SDS-PAGE, and the membrane was blotted with ACADVL antibody [N1C1] (GTX114232) diluted at 1:1000. The HRP-conjugated anti-rabbit IgG antibody (GTX213110-01) was used to detect the primary antibody. Wild-type (WT) and ACADVL knockout (KO) 293T cell extracts (30 μg) were separated by 7.5% SDS-PAGE, and the membrane was blotted with ACADVL antibody [N1C1] (GTX114232) diluted at 1:1000. The HRP-conjugated anti-rabbit IgG antibody (GTX213110-01) was used to detect the primary antibody.](https://www.genetex.com/upload/website/prouct_img/normal/GTX114232/GTX114232_43649_20190802_WB_KO_watermark_w_23060501_692.webp)
![Various whole cell extracts (30 μg) were separated by 7.5% SDS-PAGE, and the membrane was blotted with ACADVL antibody [N1C1] (GTX114232) diluted at 1:1000. The HRP-conjugated anti-rabbit IgG antibody (GTX213110-01) was used to detect the primary antibody. Corresponding RNA expression data for the same cell lines are based on Human Protein Atlas program. Various whole cell extracts (30 μg) were separated by 7.5% SDS-PAGE, and the membrane was blotted with ACADVL antibody [N1C1] (GTX114232) diluted at 1:1000. The HRP-conjugated anti-rabbit IgG antibody (GTX213110-01) was used to detect the primary antibody. Corresponding RNA expression data for the same cell lines are based on Human Protein Atlas program.](https://www.genetex.com/upload/website/prouct_img/normal/GTX114232/GTX114232_43649_20191025_WB_TPM_watermark_w_23060501_478.webp)
![Various whole cell extracts (30 μg) were separated by 7.5% SDS-PAGE, and the membrane was blotted with ACADVL antibody [N1C1] (GTX114232) diluted at 1:1000. The HRP-conjugated anti-rabbit IgG antibody (GTX213110-01) was used to detect the primary antibody. Various whole cell extracts (30 μg) were separated by 7.5% SDS-PAGE, and the membrane was blotted with ACADVL antibody [N1C1] (GTX114232) diluted at 1:1000. The HRP-conjugated anti-rabbit IgG antibody (GTX213110-01) was used to detect the primary antibody.](https://www.genetex.com/upload/website/prouct_img/normal/GTX114232/GTX114232_43649_20190802_WB_w_23060501_948.webp)
![ACADVL antibody [N1C1] detects ACADVL protein at mitochondria by immunofluorescent analysis. Sample: HeLa cells were fixed in ice-cold MeOH for 5 min. Green: ACADVL stained by ACADVL antibody [N1C1] (GTX114232) diluted at 1:500. Blue: Fluoroshield with DAPI (GTX30920). Scale bar= 10 μm. ACADVL antibody [N1C1] detects ACADVL protein at mitochondria by immunofluorescent analysis. Sample: HeLa cells were fixed in ice-cold MeOH for 5 min. Green: ACADVL stained by ACADVL antibody [N1C1] (GTX114232) diluted at 1:500. Blue: Fluoroshield with DAPI (GTX30920). Scale bar= 10 μm.](https://www.genetex.com/upload/website/prouct_img/normal/GTX114232/GTX114232_43650_20200304_ICC_IF_w_23060501_701.webp)






