
Various whole cell extracts (30 μg) were separated by 5% SDS-PAGE, and the membrane was blotted with Acetyl-CoA Carboxylase 1 antibody (GTX132081) diluted at 1:1000. The HRP-conjugated anti-rabbit IgG antibody (GTX213110-01) was used to detect the primary antibody.
Acetyl-CoA Carboxylase 1 antibody
GTX132081
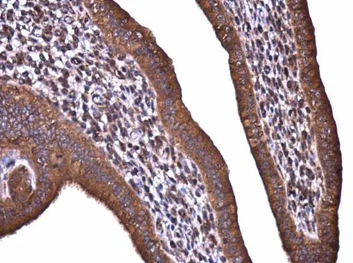
ApplicationsImmunoFluorescence, Western Blot, ImmunoCytoChemistry, ImmunoHistoChemistry, ImmunoHistoChemistry Paraffin
Product group Antibodies
ReactivityHuman, Mouse, Rat
TargetACACA
Overview
- SupplierGeneTex
- Product NameAcetyl-CoA Carboxylase 1 antibody
- Delivery Days Customer9
- Application Supplier NoteWB: 1:500-1:3000. ICC/IF: 1:100-1:1000. IHC-P: 1:100-1:1000. *Optimal dilutions/concentrations should be determined by the researcher.Not tested in other applications.
- ApplicationsImmunoFluorescence, Western Blot, ImmunoCytoChemistry, ImmunoHistoChemistry, ImmunoHistoChemistry Paraffin
- CertificationResearch Use Only
- ClonalityPolyclonal
- Concentration1.55 mg/ml
- ConjugateUnconjugated
- Gene ID31
- Target nameACACA
- Target descriptionacetyl-CoA carboxylase alpha
- Target synonymsACAC, ACACAD, ACACalpha, ACC, ACC1, ACCA, ACCalpha, Acac1, hACC1, acetyl-CoA carboxylase 1, ACC-alpha, acetyl-Coenzyme A carboxylase alpha
- HostRabbit
- IsotypeIgG
- Protein IDQ13085
- Protein NameAcetyl-CoA carboxylase 1
- Scientific DescriptionAcetyl-CoA carboxylase (ACC) is a complex multifunctional enzyme system. ACC is a biotin-containing enzyme which catalyzes the carboxylation of acetyl-CoA to malonyl-CoA, the rate-limiting step in fatty acid synthesis. There are two ACC forms, alpha and beta, encoded by two different genes. ACC-alpha is highly enriched in lipogenic tissues. The enzyme is under long term control at the transcriptional and translational levels and under short term regulation by the phosphorylation/dephosphorylation of targeted serine residues and by allosteric transformation by citrate or palmitoyl-CoA. Multiple alternatively spliced transcript variants divergent in the 5 sequence and encoding distinct isoforms have been found for this gene. [provided by RefSeq, Jul 2008]
- ReactivityHuman, Mouse, Rat
- Storage Instruction-20°C or -80°C,2°C to 8°C
- UNSPSC41116161










