
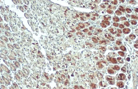
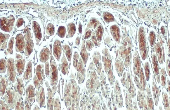
ACSL3 antibody detects ACSL3 protein at cytoplasm by immunohistochemical analysis. Sample: Paraffin-embedded rat colon. ACSL3 stained by ACSL3 antibody (GTX112431) diluted at 1:200. Antigen Retrieval: Citrate buffer, pH 6.0, 15 min
ACSL3 antibody
GTX112431
ApplicationsImmunoFluorescence, Western Blot, ImmunoCytoChemistry, ImmunoHistoChemistry, ImmunoHistoChemistry Paraffin
Product group Antibodies
ReactivityHuman, Mouse, Rat
TargetACSL3
Overview
- SupplierGeneTex
- Product NameACSL3 antibody
- Delivery Days Customer9
- Application Supplier NoteWB: 1:500-1:3000. IHC-P: 1:100-1:1000. *Optimal dilutions/concentrations should be determined by the researcher.Not tested in other applications.
- ApplicationsImmunoFluorescence, Western Blot, ImmunoCytoChemistry, ImmunoHistoChemistry, ImmunoHistoChemistry Paraffin
- CertificationResearch Use Only
- ClonalityPolyclonal
- Concentration0.81 mg/ml
- ConjugateUnconjugated
- Gene ID2181
- Target nameACSL3
- Target descriptionacyl-CoA synthetase long chain family member 3
- Target synonymsACS3, FACL3, LACS 3, LACS3, PRO2194, fatty acid CoA ligase Acsl3, arachidonate--CoA ligase, fatty-acid-Coenzyme A ligase, long-chain 3, lignoceroyl-CoA synthase, long-chain acyl-CoA synthetase 3, long-chain-fatty-acid--CoA ligase 3, medium-chain acyl-CoA ligase Acsl3
- HostRabbit
- IsotypeIgG
- Protein IDO95573
- Protein NameFatty acid CoA ligase Acsl3
- Scientific DescriptionThe protein encoded by this gene is an isozyme of the long-chain fatty-acid-coenzyme A ligase family. Although differing in substrate specificity, subcellular localization, and tissue distribution, all isozymes of this family convert free long-chain fatty acids into fatty acyl-CoA esters, and thereby play a key role in lipid biosynthesis and fatty acid degradation. This isozyme is highly expressed in brain, and preferentially utilizes myristate, arachidonate, and eicosapentaenoate as substrates. The amino acid sequence of this isozyme is 92% identical to that of rat homolog. Two transcript variants encoding the same protein have been found for this gene. [provided by RefSeq]
- ReactivityHuman, Mouse, Rat
- Storage Instruction-20°C or -80°C,2°C to 8°C
- UNSPSC41116161












![Various whole cell extracts (30 μg) were separated by 7.5% SDS-PAGE, and the membrane was blotted with ACSL3 + ACSL4 antibody [HL1941] (GTX637778) diluted at 1:1000. The HRP-conjugated anti-rabbit IgG antibody (GTX213110-01) was used to detect the primary antibody.](https://www.genetex.com/upload/website/prouct_img/normal/GTX637778/GTX637778_45481_20240729_WB_24080602_422.webp)