
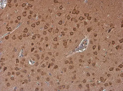
Adenosine A2b Receptor antibody detects Adenosine A2b Receptor protein at cell membrane and cytoplasm by immunohistochemical analysis. Sample: Paraffin-embedded cat cerebellum. Adenosine A2b Receptor stained by Adenosine A2b Receptor antibody (GTX132217) diluted at 1:500. Antigen Retrieval: Citrate buffer, pH 6.0, 15 min
Adenosine A2b Receptor antibody
GTX132217
ApplicationsImmunoHistoChemistry, ImmunoHistoChemistry Paraffin
Product group Antibodies
ReactivityFeline, Human, Mouse, Rat
TargetADORA2B
Overview
- SupplierGeneTex
- Product NameAdenosine A2b Receptor antibody
- Delivery Days Customer9
- Application Supplier NoteIHC-P: 1:100-1:1000. *Optimal dilutions/concentrations should be determined by the researcher.Not tested in other applications.
- ApplicationsImmunoHistoChemistry, ImmunoHistoChemistry Paraffin
- CertificationResearch Use Only
- ClonalityPolyclonal
- Concentration0.53 mg/ml
- ConjugateUnconjugated
- Gene ID136
- Target nameADORA2B
- Target descriptionadenosine A2b receptor
- Target synonymsADORA2, adenosine receptor A2b
- HostRabbit
- IsotypeIgG
- Protein IDP29275
- Protein NameAdenosine receptor A2b
- Scientific DescriptionThis gene encodes an adenosine receptor that is a member of the G protein-coupled receptor superfamily. This integral membrane protein stimulates adenylate cyclase activity in the presence of adenosine. This protein also interacts with netrin-1, which is involved in axon elongation. The gene is located near the Smith-Magenis syndrome region on chromosome 17. [provided by RefSeq, Jul 2008]
- ReactivityFeline, Human, Mouse, Rat
- Storage Instruction-20°C or -80°C,2°C to 8°C
- UNSPSC41116161










