
Various whole cell extracts (30 μg) were separated by 7.5% SDS-PAGE, and the membrane was blotted with AF9 antibody (GTX102835) diluted at 1:3000. The HRP-conjugated anti-rabbit IgG antibody (GTX213110-01) was used to detect the primary antibody.
AF9 antibody
GTX102835
ApplicationsImmunoFluorescence, Western Blot, ChIP Chromatin ImmunoPrecipitation, ImmunoCytoChemistry, ImmunoHistoChemistry, ImmunoHistoChemistry Paraffin
Product group Antibodies
ReactivityHuman, Mouse
TargetMLLT3
Overview
- SupplierGeneTex
- Product NameAF9 antibody
- Delivery Days Customer9
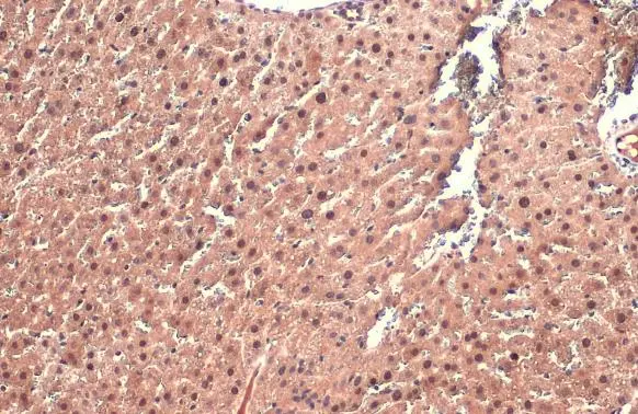
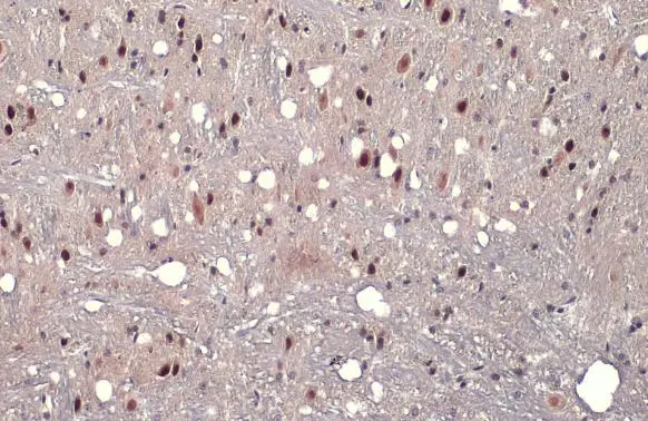
- Application Supplier NoteWB: 1:500-1:3000. ICC/IF: 1:100-1:1000. IHC-P: 1:100-1:1000. *Optimal dilutions/concentrations should be determined by the researcher.Not tested in other applications.
- ApplicationsImmunoFluorescence, Western Blot, ChIP Chromatin ImmunoPrecipitation, ImmunoCytoChemistry, ImmunoHistoChemistry, ImmunoHistoChemistry Paraffin
- CertificationResearch Use Only
- ClonalityPolyclonal
- Concentration0.46 mg/ml
- ConjugateUnconjugated
- Gene ID4300
- Target nameMLLT3
- Target descriptionMLLT3 super elongation complex subunit
- Target synonymsAF9, YEATS3, protein AF-9, ALL1-fused gene from chromosome 9 protein, KMT2A/MLLT3 fusion protein, YEATS domain-containing protein 3, myeloid/lymphoid or mixed-lineage leukemia (trithorax homolog); translocated to, 3, myeloid/lymphoid or mixed-lineage leukemia (trithorax homolog, Drosophila); translocated to, 3, myeloid/lymphoid or mixed-lineage leukemia translocated to chromosome 3 protein, myeloid/lymphoid or mixed-lineage leukemia; translocated to 3
- HostRabbit
- IsotypeIgG
- Protein IDP42568
- Protein NameProtein AF-9
- ReactivityHuman, Mouse
- Storage Instruction-20°C or -80°C,2°C to 8°C
- UNSPSC41116161










![Non-transfected (–) and transfected (+) 293T whole cell extracts (30 μg) were separated by 7.5% SDS-PAGE, and the membrane was blotted with AF9 antibody [HL1644] (GTX637225) diluted at 1:15000. The HRP-conjugated anti-rabbit IgG antibody (GTX213110-01) was used to detect the primary antibody.](https://www.genetex.com/upload/website/prouct_img/normal/GTX637225/GTX637225_T-44746_20220826_WB_shRNA_watermark_22083119_389.webp)
