
Immunohistochemical analysis of paraffin-embedded human OVCAR3, using AKAP10(GTX106430) antibody at 1:100 dilution.
Antigen Retrieval: Trilogy? (EDTA based, pH 8.0) buffer, 15min
AKAP10 antibody [C3], C-term
GTX106430
ApplicationsImmunoFluorescence, ImmunoCytoChemistry, ImmunoHistoChemistry, ImmunoHistoChemistry Paraffin
Product group Antibodies
ReactivityHuman, Mouse, Rat
TargetAKAP10
Overview
- SupplierGeneTex
- Product NameAKAP10 antibody [C3], C-term
- Delivery Days Customer9
- Application Supplier NoteICC/IF: 1:100-1:1000. IHC-P: 1:100-1:1000. *Optimal dilutions/concentrations should be determined by the researcher.Not tested in other applications.
- ApplicationsImmunoFluorescence, ImmunoCytoChemistry, ImmunoHistoChemistry, ImmunoHistoChemistry Paraffin
- CertificationResearch Use Only
- ClonalityPolyclonal
- Concentration0.35 mg/ml
- ConjugateUnconjugated
- Gene ID11216
- Target nameAKAP10
- Target descriptionA-kinase anchoring protein 10
- Target synonymsAKAP-10, D-AKAP-2, D-AKAP2, PRKA10, A-kinase anchor protein 10, mitochondrial, A kinase (PRKA) anchor protein 10, dual specificity A kinase-anchoring protein 2, mitochondrial A kinase PPKA anchor protein 10, protein kinase A anchoring protein 10
- HostRabbit
- IsotypeIgG
- Protein IDO43572
- Protein NameA-kinase anchor protein 10, mitochondrial
- Scientific DescriptionThe A-kinase anchor proteins (AKAPs) are a group of structurally diverse proteins, which have the common function of binding to the regulatory subunit of protein kinase A (PKA) and confining the holoenzyme to discrete locations within the cell. This gene encodes a member of the AKAP family. The encoded protein interacts with both the type I and type II regulatory subunits of PKA; therefore, it is a dual-specific AKAP. This protein is highly enriched in mitochondria. It contains RGS (regulator of G protein signalling) domains, in addition to a PKA-RII subunit-binding domain. The mitochondrial localization and the presence of RGS domains may have important implications for the function of this protein in PKA and G protein signal transduction. [provided by RefSeq]
- ReactivityHuman, Mouse, Rat
- Storage Instruction-20°C or -80°C,2°C to 8°C
- UNSPSC41116161
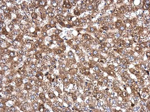
![AKAP10 antibody [C3], C-term detects AKAP10 protein at cytoplasm in rat liver by immunohistochemical analysis. Sample: Paraffin-embedded rat liver. AKAP10 antibody [C3], C-term (GTX106430) diluted at 1:100.
Antigen Retrieval: Citrate buffer, pH 6.0, 15 min AKAP10 antibody [C3], C-term detects AKAP10 protein at cytoplasm in rat liver by immunohistochemical analysis. Sample: Paraffin-embedded rat liver. AKAP10 antibody [C3], C-term (GTX106430) diluted at 1:100.
Antigen Retrieval: Citrate buffer, pH 6.0, 15 min](https://www.genetex.com/upload/website/prouct_img/normal/GTX106430/GTX106430_39890_20160720_IHC-P_R_w_23060120_507.webp)

![AKAP10 antibody [C3], C-term detects AKAP10 protein at cytoplasm in mouse brain by immunohistochemical analysis. Sample: Paraffin-embedded mouse brain. AKAP10 antibody [C3], C-term (GTX106430) diluted at 1:100.
Antigen Retrieval: Citrate buffer, pH 6.0, 15 min AKAP10 antibody [C3], C-term detects AKAP10 protein at cytoplasm in mouse brain by immunohistochemical analysis. Sample: Paraffin-embedded mouse brain. AKAP10 antibody [C3], C-term (GTX106430) diluted at 1:100.
Antigen Retrieval: Citrate buffer, pH 6.0, 15 min](https://www.genetex.com/upload/website/prouct_img/normal/GTX106430/GTX106430_39890_20160720_IHC-P_M_w_23060120_151.webp)








