![Whole cell extract (30 μg) was separated by 10% SDS-PAGE, and the membrane was blotted with ALDH1A3 antibody [GT926] (GTX633822) diluted at 1:1000. The HRP-conjugated anti-mouse IgG antibody (GTX213111-01) was used to detect the primary antibody. Whole cell extract (30 μg) was separated by 10% SDS-PAGE, and the membrane was blotted with ALDH1A3 antibody [GT926] (GTX633822) diluted at 1:1000. The HRP-conjugated anti-mouse IgG antibody (GTX213111-01) was used to detect the primary antibody.](https://www.genetex.com/upload/website/prouct_img/normal/GTX633822/GTX633822_42688_20171006_WB_2_w_23061202_702.webp)
Whole cell extract (30 μg) was separated by 10% SDS-PAGE, and the membrane was blotted with ALDH1A3 antibody [GT926] (GTX633822) diluted at 1:1000. The HRP-conjugated anti-mouse IgG antibody (GTX213111-01) was used to detect the primary antibody.
ALDH1A3 antibody [GT926]
GTX633822
ApplicationsImmunoFluorescence, Western Blot, ImmunoCytoChemistry, ImmunoHistoChemistry, ImmunoHistoChemistry Paraffin
Product group Antibodies
ReactivityHuman, Mouse, Rat
TargetALDH1A3
Overview
- SupplierGeneTex
- Product NameALDH1A3 antibody [GT926]
- Delivery Days Customer9
- Application Supplier NoteWB: 1:500-1:3000. ICC/IF: 1:100-1:1000. IHC-P: 1:100-1:1000. *Optimal dilutions/concentrations should be determined by the researcher.Not tested in other applications.
- ApplicationsImmunoFluorescence, Western Blot, ImmunoCytoChemistry, ImmunoHistoChemistry, ImmunoHistoChemistry Paraffin
- CertificationResearch Use Only
- ClonalityMonoclonal
- Clone IDGT926
- Concentration1 mg/ml
- ConjugateUnconjugated
- Gene ID220
- Target nameALDH1A3
- Target descriptionaldehyde dehydrogenase 1 family member A3
- Target synonymsALDH1A6, ALDH6, MCOP8, RALDH3, retinaldehyde dehydrogenase 3, acetaldehyde dehydrogenase 6, aldehyde dehydrogenase 6
- HostMouse
- IsotypeIgG1
- Protein IDP47895
- Protein NameRetinaldehyde dehydrogenase 3
- Scientific DescriptionAldehyde dehydrogenase isozymes are thought to play a major role in the detoxification of aldehydes generated by alcohol metabolism and lipid peroxidation. The enzyme encoded by this gene uses retinal as a substrate, either in a free or cellular retinol-binding protein form. [provided by RefSeq]
- ReactivityHuman, Mouse, Rat
- Storage Instruction-20°C or -80°C,2°C to 8°C
- UNSPSC12352203
References
- Park JW, Jung KH, Lee JH, et al. Inhibition of aldehyde dehydrogenase 1 enhances the cytotoxic effect of retinaldehyde on A549 cancer cells. Oncotarget. 2017,8(59):99382-99393. doi: 10.18632/oncotarget.19544Read this paper
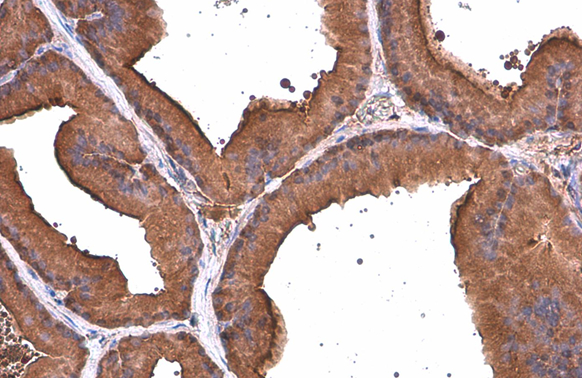
![ALDH1A3 antibody [GT926] detects ALDH1A3 protein at cytoplasm by immunohistochemical analysis. Sample: Paraffin-embedded rat prostate. ALDH1A3 stained by ALDH1A3 antibody [GT926] (GTX633822) diluted at 1:200. Antigen Retrieval: Citrate buffer, pH 6.0, 15 min ALDH1A3 antibody [GT926] detects ALDH1A3 protein at cytoplasm by immunohistochemical analysis. Sample: Paraffin-embedded rat prostate. ALDH1A3 stained by ALDH1A3 antibody [GT926] (GTX633822) diluted at 1:200. Antigen Retrieval: Citrate buffer, pH 6.0, 15 min](https://www.genetex.com/upload/website/prouct_img/normal/GTX633822/GTX633822_42688_20181221_IHC-P_R_w_23061202_206.webp)
![ALDH1A3 antibody [GT926] detects ALDH1A3 protein at cytoplasm by immunofluorescent analysis. Sample: Hep G2 cells were fixed in 4% paraformaldehyde at RT for 15 min. Green: ALDH1A3 protein stained by ALDH1A3 antibody [GT926] (GTX633822) diluted at 1:500. Blue: Hoechst 33342 staining. ALDH1A3 antibody [GT926] detects ALDH1A3 protein at cytoplasm by immunofluorescent analysis. Sample: Hep G2 cells were fixed in 4% paraformaldehyde at RT for 15 min. Green: ALDH1A3 protein stained by ALDH1A3 antibody [GT926] (GTX633822) diluted at 1:500. Blue: Hoechst 33342 staining.](https://www.genetex.com/upload/website/prouct_img/normal/GTX633822/GTX633822_42688_20170118_IFA_w_23061202_767.webp)
![Various whole cell extracts (30 μg) were separated by 10% SDS-PAGE, and the membrane was blotted with ALDH1A3 antibody [GT926] (GTX633822) diluted at 1:1000. The HRP-conjugated anti-mouse IgG antibody (GTX213111-01) was used to detect the primary antibody. Various whole cell extracts (30 μg) were separated by 10% SDS-PAGE, and the membrane was blotted with ALDH1A3 antibody [GT926] (GTX633822) diluted at 1:1000. The HRP-conjugated anti-mouse IgG antibody (GTX213111-01) was used to detect the primary antibody.](https://www.genetex.com/upload/website/prouct_img/normal/GTX633822/GTX633822_42688_20171006_WB_w_23061202_401.webp)
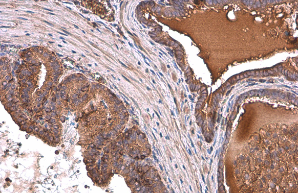
![ALDH1A3 antibody [GT926] detects ALDH1A3 protein at cytoplasm by immunohistochemical analysis. Sample: Paraffin-embedded mouse prostate. ALDH1A3 stained by ALDH1A3 antibody [GT926] (GTX633822) diluted at 1:200. Antigen Retrieval: Citrate buffer, pH 6.0, 15 min ALDH1A3 antibody [GT926] detects ALDH1A3 protein at cytoplasm by immunohistochemical analysis. Sample: Paraffin-embedded mouse prostate. ALDH1A3 stained by ALDH1A3 antibody [GT926] (GTX633822) diluted at 1:200. Antigen Retrieval: Citrate buffer, pH 6.0, 15 min](https://www.genetex.com/upload/website/prouct_img/normal/GTX633822/GTX633822_42688_20181221_IHC-P_M_w_23061202_619.webp)
![Whole cell extract (30 μg) was separated by 10% SDS-PAGE, and the membrane was blotted with ALDH1A3 antibody [GT926] (GTX633822) diluted at 1:3000. Whole cell extract (30 μg) was separated by 10% SDS-PAGE, and the membrane was blotted with ALDH1A3 antibody [GT926] (GTX633822) diluted at 1:3000.](https://www.genetex.com/upload/website/prouct_img/normal/GTX633822/GTX633822_42688_20161215_WB_w_23061202_784.webp)


![ALDH1A3 antibody [N2C2], Internal detects ALDH1A3 protein at cytoplasm by immunohistochemical analysis. Sample: Paraffin-embedded mouse prostate. ALDH1A3 stained by ALDH1A3 antibody [N2C2], Internal (GTX110784) diluted at 1:500. Antigen Retrieval: Citrate buffer, pH 6.0, 15 min](https://www.genetex.com/upload/website/prouct_img/normal/GTX110784/GTX110784_43054_20181221_IHC-P_M_w_23060500_249.webp)



