
Western blot analysis of anti-ALDH1A3 Antibody (N-term) in mouse kidney tissue lysates (35ug/lane). ALDH1A3 (arrow) was detected using the purified Pab.
ALDH1A3 (N-term) Rabbit Polyclonal Antibody
AP14684PU-N
ApplicationsWestern Blot, ImmunoHistoChemistry
Product group Antibodies
ReactivityHuman, Mouse
TargetALDH1A3
Overview
- SupplierOriGene
- Product NameALDH1A3 (N-term) Rabbit Polyclonal Antibody
- Delivery Days Customer14
- ApplicationsWestern Blot, ImmunoHistoChemistry
- CertificationResearch Use Only
- ClonalityPolyclonal
- Gene ID220
- Target nameALDH1A3
- Target descriptionaldehyde dehydrogenase 1 family member A3
- Target synonymsALDH1A6, ALDH6, MCOP8, RALDH3, retinaldehyde dehydrogenase 3, acetaldehyde dehydrogenase 6, aldehyde dehydrogenase 6
- HostRabbit
- Protein IDP47895
- Protein NameRetinaldehyde dehydrogenase 3
- Scientific DescriptionALDH1A3 (N-term) rabbit polyclonal antibody, Purified
- ReactivityHuman, Mouse
- Storage Instruction-20°C,2°C to 8°C
- UNSPSC12352203




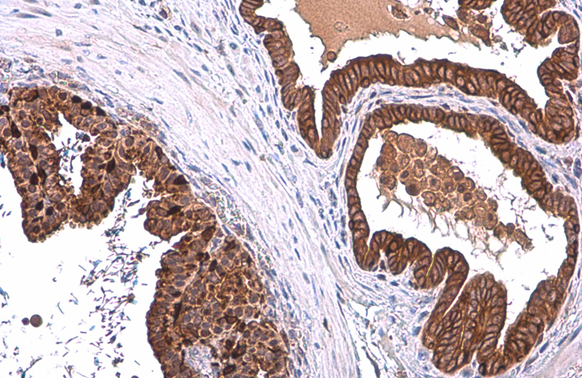
![ALDH1A3 antibody [N2C2], Internal detects ALDH1A3 protein at cytoplasm by immunohistochemical analysis. Sample: Paraffin-embedded mouse prostate. ALDH1A3 stained by ALDH1A3 antibody [N2C2], Internal (GTX110784) diluted at 1:500. Antigen Retrieval: Citrate buffer, pH 6.0, 15 min](https://www.genetex.com/upload/website/prouct_img/normal/GTX110784/GTX110784_43054_20181221_IHC-P_M_w_23060500_249.webp)

