![WB analysis of HEK293T cells transfected with ALDH1L1 plasmid (Right) or empty vector (Left) for 48 hrs using GTX84897 ALDH1L1 antibody [1H6]. Loading : 5 ug per lane WB analysis of HEK293T cells transfected with ALDH1L1 plasmid (Right) or empty vector (Left) for 48 hrs using GTX84897 ALDH1L1 antibody [1H6]. Loading : 5 ug per lane](https://www.genetex.com/upload/website/prouct_img/normal/GTX84897/GTX84897_4706_WB_w_23061420_506.webp)
WB analysis of HEK293T cells transfected with ALDH1L1 plasmid (Right) or empty vector (Left) for 48 hrs using GTX84897 ALDH1L1 antibody [1H6]. Loading : 5 ug per lane
ALDH1L1 antibody [1H6]
GTX84897
ApplicationsImmunoFluorescence, Western Blot, ImmunoCytoChemistry, ImmunoHistoChemistry, ImmunoHistoChemistry Paraffin
Product group Antibodies
ReactivityCanine, Human, Rat
TargetALDH1L1
Overview
- SupplierGeneTex
- Product NameALDH1L1 antibody [1H6]
- Delivery Days Customer9
- Application Supplier NoteWB: 1:500-1:2000. ICC/IF: 1:100. IHC-P: 1:150. *Optimal dilutions/concentrations should be determined by the researcher.Not tested in other applications.
- ApplicationsImmunoFluorescence, Western Blot, ImmunoCytoChemistry, ImmunoHistoChemistry, ImmunoHistoChemistry Paraffin
- CertificationResearch Use Only
- ClonalityMonoclonal
- Clone ID1H6
- Concentration1 mg/ml
- ConjugateUnconjugated
- Gene ID10840
- Target nameALDH1L1
- Target descriptionaldehyde dehydrogenase 1 family member L1
- Target synonyms10-FTHFDH, 10-fTHF, FDH, FTHFD, cytosolic 10-formyltetrahydrofolate dehydrogenase, 10-formyltetrahydrofolate dehydrogenase, MER57B-ALDH1L1
- HostMouse
- IsotypeIgG2b
- Protein IDO75891
- Protein NameCytosolic 10-formyltetrahydrofolate dehydrogenase
- Scientific DescriptionThe protein encoded by this gene catalyzes the conversion of 10-formyltetrahydrofolate, NADP, and water to tetrahydrofolate, NADPH, and carbon dioxide. The encoded protein belongs to the aldehyde dehydrogenase family and is responsible for formate oxidation in vivo. Deficiencies in this gene can result in an accumulation of formate and subsequent methanol poisoning. [provided by RefSeq]
- ReactivityCanine, Human, Rat
- Storage Instruction-20°C or -80°C,2°C to 8°C
- UNSPSC41116161
![WB analysis of various cell lines using GTX84897 ALDH1L1 antibody [1H6]. Loading : 35 ug per lane WB analysis of various cell lines using GTX84897 ALDH1L1 antibody [1H6]. Loading : 35 ug per lane](https://www.genetex.com/upload/website/prouct_img/normal/GTX84897/GTX84897_3585_WB_w_23061420_173.webp)
![IHC-P analysis of human kidney carcinoma tissue using GTX84897 ALDH1L1 antibody [1H6]. Antigen retrieval : Heat-induced epitope retrieval by 10mM citrate buffer, pH6.0, 100oC for 10min. IHC-P analysis of human kidney carcinoma tissue using GTX84897 ALDH1L1 antibody [1H6]. Antigen retrieval : Heat-induced epitope retrieval by 10mM citrate buffer, pH6.0, 100oC for 10min.](https://www.genetex.com/upload/website/prouct_img/normal/GTX84897/GTX84897_3235_IHC-P_w_23061420_220.webp)
![IHC-P analysis of human prostate tissue using GTX84897 ALDH1L1 antibody [1H6]. Antigen retrieval : Heat-induced epitope retrieval by 10mM citrate buffer, pH6.0, 100oC for 10min. IHC-P analysis of human prostate tissue using GTX84897 ALDH1L1 antibody [1H6]. Antigen retrieval : Heat-induced epitope retrieval by 10mM citrate buffer, pH6.0, 100oC for 10min.](https://www.genetex.com/upload/website/prouct_img/normal/GTX84897/GTX84897_3237_IHC-P_w_23061420_855.webp)
![IHC-P analysis of human kidney tissue using GTX84897 ALDH1L1 antibody [1H6]. Antigen retrieval : Heat-induced epitope retrieval by 10mM citrate buffer, pH6.0, 100oC for 10min. IHC-P analysis of human kidney tissue using GTX84897 ALDH1L1 antibody [1H6]. Antigen retrieval : Heat-induced epitope retrieval by 10mM citrate buffer, pH6.0, 100oC for 10min.](https://www.genetex.com/upload/website/prouct_img/normal/GTX84897/GTX84897_3236_IHC-P_w_23061420_680.webp)
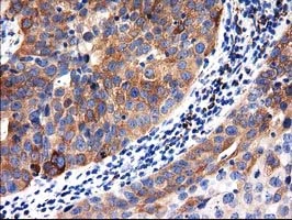
![IHC-P analysis of human bladder carcinoma tissue using GTX84897 ALDH1L1 antibody [1H6]. Antigen retrieval : Heat-induced epitope retrieval by 10mM citrate buffer, pH6.0, 100oC for 10min. IHC-P analysis of human bladder carcinoma tissue using GTX84897 ALDH1L1 antibody [1H6]. Antigen retrieval : Heat-induced epitope retrieval by 10mM citrate buffer, pH6.0, 100oC for 10min.](https://www.genetex.com/upload/website/prouct_img/normal/GTX84897/GTX84897_3234_IHC-P_w_23061420_585.webp)
![ICC/IF analysis of COS7 cells transiently transfected with ALDH1L1 plasmid using GTX84897 ALDH1L1 antibody [1H6]. ICC/IF analysis of COS7 cells transiently transfected with ALDH1L1 plasmid using GTX84897 ALDH1L1 antibody [1H6].](https://www.genetex.com/upload/website/prouct_img/normal/GTX84897/GTX84897_1283_ICCIF_w_23061420_582.webp)





![IHC-P analysis of human bladder carcinoma tissue using GTX84891 ALDH1L1 antibody [6A10].](https://www.genetex.com/upload/website/prouct_img/normal/GTX84891/GTX84891_3219_IHC-P_w_23061420_829.webp)
![FACS analysis of HeLa cells using GTX84892 ALDH1L1 antibody [5G8]. Red : Primary antibody Blue : Negative control antibody](https://www.genetex.com/upload/website/prouct_img/normal/GTX84892/GTX84892_606_FACS_w_23061420_106.webp)
![ICC/IF analysis of COS7 cells transiently transfected with ALDH1L1 plasmid using GTX84894 ALDH1L1 antibody [7G6].](https://www.genetex.com/upload/website/prouct_img/normal/GTX84894/GTX84894_1280_ICCIF_w_23061420_843.webp)
![WB analysis of various cell lines using GTX84895 ALDH1L1 antibody [7B7]. Loading : 35 ug per lane](https://www.genetex.com/upload/website/prouct_img/normal/GTX84895/GTX84895_4705_WB_w_23061420_671.webp)