
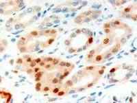
IHC-P analysis of human kidney using GTX89791 Anillin antibody, C-term. Antigen retrieval : Tris/EDTA buffer pH 9 Dilution : 10microg/ml
Anillin antibody, C-term
GTX89791
ApplicationsImmunoHistoChemistry, ImmunoHistoChemistry Paraffin
Product group Antibodies
TargetANLN
Overview
- SupplierGeneTex
- Product NameAnillin antibody, C-term
- Delivery Days Customer7
- Application Supplier NoteIHC-P: 3-10microg/ml. *Optimal dilutions/concentrations should be determined by the researcher.Not tested in other applications.
- ApplicationsImmunoHistoChemistry, ImmunoHistoChemistry Paraffin
- CertificationResearch Use Only
- ClonalityPolyclonal
- Concentration0.50 mg/ml
- ConjugateUnconjugated
- Gene ID54443
- Target nameANLN
- Target descriptionanillin, actin binding protein
- Target synonymsFSGS8, Scraps, scra, anillin
- HostGoat
- IsotypeIgG
- Protein IDQ9NQW6
- Protein NameAnillin
- Scientific DescriptionThis gene encodes an actin-binding protein that plays a role in cell growth and migration, and in cytokinesis. The encoded protein is thought to regulate actin cytoskeletal dynamics in podocytes, components of the glomerulus. Mutations in this gene are associated with focal segmental glomerulosclerosis 8. Alternative splicing results in multiple transcript variants encoding different isoforms. [provided by RefSeq, Oct 2014]
- Storage Instruction-20°C or -80°C,2°C to 8°C
- UNSPSC12352203









