![ICC/IF analysis of COS7 cells transiently transfected with Annexin A1 plasmid using GTX84886 Annexin A1 antibody [3A8]. ICC/IF analysis of COS7 cells transiently transfected with Annexin A1 plasmid using GTX84886 Annexin A1 antibody [3A8].](https://www.genetex.com/upload/website/prouct_img/normal/GTX84886/GTX84886_1275_ICCIF_w_23061420_614.webp)
ICC/IF analysis of COS7 cells transiently transfected with Annexin A1 plasmid using GTX84886 Annexin A1 antibody [3A8].
Annexin A1 antibody [3A8]
GTX84886
ApplicationsImmunoFluorescence, Western Blot, ImmunoCytoChemistry, ImmunoHistoChemistry, ImmunoHistoChemistry Paraffin
Product group Antibodies
TargetANXA1
Overview
- SupplierGeneTex
- Product NameAnnexin A1 antibody [3A8] - KO/KD, Overexpression Validated
- Delivery Days Customer9
- Application Supplier NoteWB: 1:2000. ICC/IF: 1:100. IHC-P: 1:50. *Optimal dilutions/concentrations should be determined by the researcher.Not tested in other applications.
- ApplicationsImmunoFluorescence, Western Blot, ImmunoCytoChemistry, ImmunoHistoChemistry, ImmunoHistoChemistry Paraffin
- CertificationResearch Use Only
- ClonalityMonoclonal
- Clone ID3A8
- Concentration0.9 mg/ml
- ConjugateUnconjugated
- Gene ID301
- Target nameANXA1
- Target descriptionannexin A1
- Target synonymsANX1, LPC1, annexin A1, annexin I (lipocortin I), annexin-1, calpactin II, calpactin-2, chromobindin-9, epididymis secretory sperm binding protein, phospholipase A2 inhibitory protein
- HostMouse
- IsotypeIgG1
- Protein IDP04083
- Protein NameAnnexin A1
- Scientific DescriptionCalcium/phospholipid-binding protein which promotes membrane fusion and is involved in exocytosis. This protein regulates phospholipase A2 activity. It seems to bind from two to four calcium ions with high affinity.
- Storage Instruction-20°C or -80°C,2°C to 8°C
- UNSPSC12352203
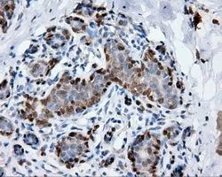
![IHC-P analysis of human ovary adenocarcinoma tissue using GTX84886 Annexin A1 antibody [3A8]. Antigen retrieval : Heat-induced epitope retrieval by 10mM citrate buffer, pH6.0, 100oC for 10min. Dilution : 1:50 IHC-P analysis of human ovary adenocarcinoma tissue using GTX84886 Annexin A1 antibody [3A8]. Antigen retrieval : Heat-induced epitope retrieval by 10mM citrate buffer, pH6.0, 100oC for 10min. Dilution : 1:50](https://www.genetex.com/upload/website/prouct_img/normal/GTX84886/GTX84886_3210_IHC-P_w_23061420_976.webp)
![IHC-P analysis of breast tissue using GTX84886 Annexin A1 antibody [3A8]. Antigen retrieval : Heat-induced epitope retrieval by 10mM citrate buffer, pH6.0, 100oC for 10min. Dilution : 1:50 IHC-P analysis of breast tissue using GTX84886 Annexin A1 antibody [3A8]. Antigen retrieval : Heat-induced epitope retrieval by 10mM citrate buffer, pH6.0, 100oC for 10min. Dilution : 1:50](https://www.genetex.com/upload/website/prouct_img/normal/GTX84886/GTX84886_3211_IHC-P_w_23061420_342.webp)
![IHC-P analysis of kidney tissue using GTX84886 Annexin A1 antibody [3A8]. Antigen retrieval : Heat-induced epitope retrieval by 10mM citrate buffer, pH6.0, 100oC for 10min. Dilution : 1:50 IHC-P analysis of kidney tissue using GTX84886 Annexin A1 antibody [3A8]. Antigen retrieval : Heat-induced epitope retrieval by 10mM citrate buffer, pH6.0, 100oC for 10min. Dilution : 1:50](https://www.genetex.com/upload/website/prouct_img/normal/GTX84886/GTX84886_3212_IHC-P_w_23061420_997.webp)
![WB analysis of various cell lines using GTX84886 Annexin A1 antibody [3A8]. Loading : 35 ug per lane Dilution : 1:200 WB analysis of various cell lines using GTX84886 Annexin A1 antibody [3A8]. Loading : 35 ug per lane Dilution : 1:200](https://www.genetex.com/upload/website/prouct_img/normal/GTX84886/GTX84886_3582_WB_w_23061420_716.webp)
![WB analysis of wild type and Annexin A1 knock out HeLa cell lysate(10microg per lane) using GTX84886 Annexin A1 antibody [3A8]. Dilution : 1:500 WB analysis of wild type and Annexin A1 knock out HeLa cell lysate(10microg per lane) using GTX84886 Annexin A1 antibody [3A8]. Dilution : 1:500](https://www.genetex.com/upload/website/prouct_img/normal/GTX84886/GTX84886_4694_20181228_WB_w_23061420_137.webp)
![WB analysis of HEK293T cells transfected with Annexin A1 plasmid (Right) or empty vector (Left) for 48 hrs using GTX84886 Annexin A1 antibody [3A8]. Loading : 5 ug per lane WB analysis of HEK293T cells transfected with Annexin A1 plasmid (Right) or empty vector (Left) for 48 hrs using GTX84886 Annexin A1 antibody [3A8]. Loading : 5 ug per lane](https://www.genetex.com/upload/website/prouct_img/normal/GTX84886/GTX84886_4695_WB_w_23061420_739.webp)


![IHC-P analysis of human spleen tissue using GTX57177 Annexin A1 antibody [IHC512]](https://www.genetex.com/upload/website/prouct_img/normal/GTX57177/GTX57177_20180619_IHC-P_w_23061123_594.webp)



