
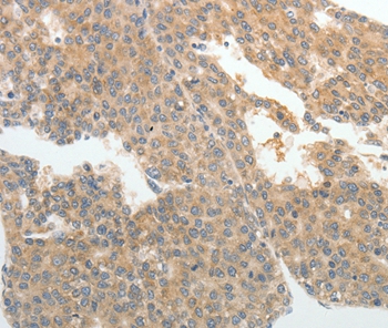
Immunohistochemistry analysis in human liver and skeletal muscle tissues using HPA019035 antibody. Corresponding ABCB11 RNA-seq data are presented for the same tissues.
Anti-ABCB11 Antibody
HPA019035
ApplicationsImmunoHistoChemistry
Product group Antibodies
ReactivityHuman
TargetABCB11
Overview
- SupplierAtlas Antibodies
- Product NameAnti-ABCB11 Antibody
- Delivery Days Customer4
- ApplicationsImmunoHistoChemistry
- CertificationResearch Use Only
- ClonalityPolyclonal
- ConjugateUnconjugated
- Gene ID8647
- Target nameABCB11
- Target descriptionATP binding cassette subfamily B member 11
- Target synonymsABC16, BRIC2, BSEP, PFIC-2, PFIC2, PGY4, SPGP, bile salt export pump, ABC member 16, MDR/TAP subfamily, ATP-binding cassette sub-family B member 11, ATP-binding cassette, sub-family B (MDR/TAP), member 11, progressive familial intrahepatic cholestasis 2, sister p-glycoprotein
- HostRabbit
- IsotypeIgG
- Protein IDO95342
- Protein NameBile salt export pump
- Scientific DescriptionRecombinant Protein Epitope Signature Tag (PrEST) antigen sequence
- ReactivityHuman
- Storage Instruction-20°C,2°C to 8°C
- UNSPSC41116161
![BSEP antibody [N3C1], Internal detects BSEP protein at cell membrane by immunohistochemical analysis. Sample: Paraffin-embedded mouse liver. BSEP stained by BSEP antibody [N3C1], Internal (GTX102608) diluted at 1:500. Antigen Retrieval: Citrate buffer, pH 6.0, 15 min](https://www.genetex.com/upload/website/prouct_img/normal/GTX102608/GTX102608_44636_20220422_IHC-P_M_w_23060119_459.webp)




