
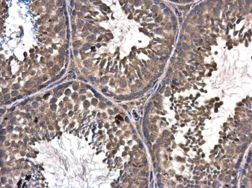
Immunohistochemistry analysis in human testis and skeletal muscle tissues using Anti-ASZ1 antibody. Corresponding ASZ1 RNA-seq data are presented for the same tissues.
Anti-ASZ1 Antibody
HPA020558
ApplicationsImmunoCytoChemistry, ImmunoHistoChemistry
Product group Antibodies
ReactivityHuman
TargetASZ1
Overview
- SupplierAtlas Antibodies
- Product NameAnti-ASZ1 Antibody
- Delivery Days Customer4
- ApplicationsImmunoCytoChemistry, ImmunoHistoChemistry
- CertificationResearch Use Only
- ClonalityPolyclonal
- ConjugateUnconjugated
- Gene ID136991
- Target nameASZ1
- Target descriptionankyrin repeat, SAM and basic leucine zipper domain containing 1
- Target synonymsALP1, ANKL1, C7orf7, CT1.19, GASZ, Orf3, ankyrin repeat, SAM and basic leucine zipper domain-containing protein 1, ankyrin-like 1, ankyrin-like protein 1, germ cell-specific ankyrin, SAM and basic leucine zipper domain-containing protein
- HostRabbit
- IsotypeIgG
- Protein IDQ8WWH4
- Protein NameAnkyrin repeat, SAM and basic leucine zipper domain-containing protein 1
- Scientific DescriptionRecombinant Protein Epitope Signature Tag (PrEST) antigen sequence
- ReactivityHuman
- Storage Instruction-20°C,2°C to 8°C
- UNSPSC41116161





