
Figure 1. Western blot analysis of ACLY using anti-ACLY antibody (PB10024). Electrophoresis was performed on a 5-20% SDS-PAGE gel at 70V (Stacking gel) / 90V (Resolving gel) for 2-3 hours. The sample well of each lane was loaded with 30 ug of sample under reducing conditions. Lane 1: human A549 whole cell lysates, Lane 2: human MOLT4 whole cell lysates, Lane 3: human U87 whole cell lysates, Lane 4: human U251 whole cell lysates, Lane 5: human 293T whole cell lysates, Lane 6: human Hela whole cell lysates, Lane 7: human T47D whole cell lysates, Lane 8: human HepG2 whole cell lysates, Lane 9: rat pancreas tissue lysates, Lane 10: mouse NIH/3T3 whole cell lysates. After electrophoresis, proteins were transferred to a nitrocellulose membrane at 150 mA for 50-90 minutes. Blocked the membrane with 5% non-fat milk/TBS for 1.5 hour at RT. The membrane was incubated with rabbit anti-ACLY antigen affinity purified polyclonal antibody (Catalog # PB10024) at 0.5 microg/mL overnight at 4°C, then washed with TBS-0.1%Tween 3 times with 5 minutes each and probed with a goat anti-rabbit IgG-HRP secondary antibody at a dilution of 1:5000 for 1.5 hour at RT. The signal is developed using an Enhanced Chemiluminescent detection (ECL) kit (Catalog # EK1002) with Tanon 5200 system. A specific band was detected for ACLY at approximately 125 kDa. The expected band size for ACLY is at 125 kDa.
Anti-ATP citrate lyase/ACLY Antibody Picoband(r)
PB10024-CARRIER-FREE
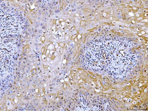
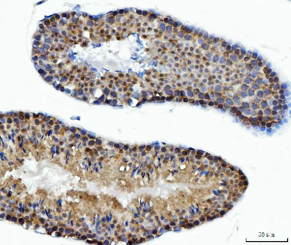
ApplicationsFlow Cytometry, ImmunoFluorescence, Western Blot, ImmunoCytoChemistry, ImmunoHistoChemistry
Product group Antibodies
ReactivityHuman, Mouse, Rat
TargetACLY
Overview
- SupplierBoster Bio
- Product NameAnti-ATP citrate lyase/ACLY Antibody Picoband(r)
- Delivery Days Customer9
- Application Supplier NoteTested Species: In-house tested species with positive results. By Heat: Boiling the paraffin sections in 10mM citrate buffer, pH6.0, for 20mins is required for the staining of formalin/paraffin sections. Other applications have not been tested. Optimal dilutions should be determined by end users.
- ApplicationsFlow Cytometry, ImmunoFluorescence, Western Blot, ImmunoCytoChemistry, ImmunoHistoChemistry
- CertificationResearch Use Only
- ClonalityPolyclonal
- Concentration500 ug/ml
- Gene ID47
- Target nameACLY
- Target descriptionATP citrate lyase
- Target synonymsACL, ATPCL, CLATP, ATP-citrate synthase, ATP-citrate (pro-S-)-lyase, citrate cleavage enzyme
- HostRabbit
- IsotypeIgG
- Protein IDP53396
- Protein NameATP-citrate synthase
- Scientific DescriptionBoster Bio Anti-ATP citrate lyase/ACLY Antibody Picoband® catalog # PB10024. Tested in Flow Cytometry, IF, IHC, ICC, WB applications. This antibody reacts with Human, Mouse, Rat. The brand Picoband indicates this is a premium antibody that guarantees superior quality, high affinity, and strong signals with minimal background in Western blot applications. Only our best-performing antibodies are designated as Picoband, ensuring unmatched performance.
- ReactivityHuman, Mouse, Rat
- Storage Instruction-20°C,2°C to 8°C
- UNSPSC12352203















