
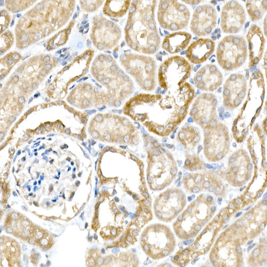
Anti-BACE1 Antibody
A14638
ApplicationsImmunoFluorescence, Western Blot, ImmunoCytoChemistry, ImmunoHistoChemistry
Product group Antibodies
ReactivityHuman, Mouse, Rat
Overview
- SupplierAntibodies.com
- Product NameAnti-BACE1 Antibody
- Delivery Days Customer7
- ApplicationsImmunoFluorescence, Western Blot, ImmunoCytoChemistry, ImmunoHistoChemistry
- CertificationResearch Use Only
- ClonalityPolyclonal
- ConjugateUnconjugated
- HostRabbit
- IsotypeIgG
- Scientific DescriptionRabbit polyclonal antibody to BACE1.
- ReactivityHuman, Mouse, Rat
- UNSPSC12352203




![BACE1 antibody [N1C2] detects BACE1 protein at cytoplasm by immunohistochemical analysis. Sample: Paraffin-embedded mouse hippocampus. BACE1 stained by BACE1 antibody [N1C2] (GTX103757) diluted at 1:500. Antigen Retrieval: Citrate buffer, pH 6.0, 15 min](https://www.genetex.com/upload/website/prouct_img/normal/GTX103757/GTX103757_44055_20200918_IHC-P_M_w_23060119_307.webp)



