
Figure 1. Western blot analysis of C7orf30/MALSU1 using anti-C7orf30/MALSU1 antibody (A12786). Electrophoresis was performed on a 5-20% SDS-PAGE gel at 70V (Stacking gel) / 90V (Resolving gel) for 2-3 hours. The sample well of each lane was loaded with 30 ug of sample under reducing conditions. Lane 1: human PC-3 whole cell lysates, Lane 2: human Hela whole cell lysates, Lane 3: human Caco-2 whole cell lysates, Lane 4: human 293T whole cell lysates. After electrophoresis, proteins were transferred to a nitrocellulose membrane at 150 mA for 50-90 minutes. Blocked the membrane with 5% non-fat milk/TBS for 1.5 hour at RT. The membrane was incubated with rabbit anti-C7orf30/MALSU1 antigen affinity purified polyclonal antibody (Catalog # A12786) at 0.5 microg/mL overnight at 4°C, then washed with TBS-0.1%Tween 3 times with 5 minutes each and probed with a goat anti-rabbit IgG-HRP secondary antibody at a dilution of 1:5000 for 1.5 hour at RT. The signal is developed using an Enhanced Chemiluminescent detection (ECL) kit (Catalog # EK1002) with Tanon 5200 system. A specific band was detected for C7orf30/MALSU1 at approximately 24 kDa. The expected band size for C7orf30/MALSU1 is at 26 kDa.
Anti-C7orf30/MALSU1 Antibody Picoband(r)
A12786-CARRIER-FREE
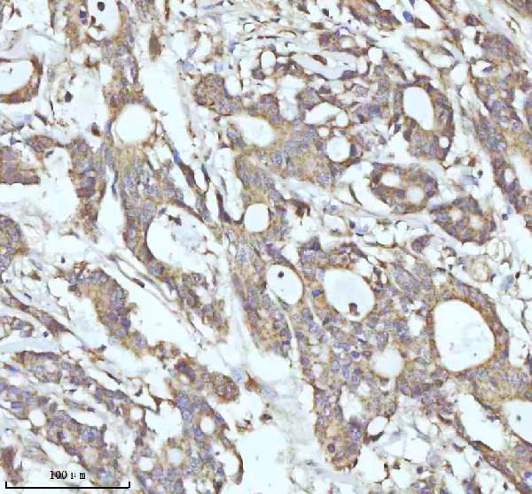
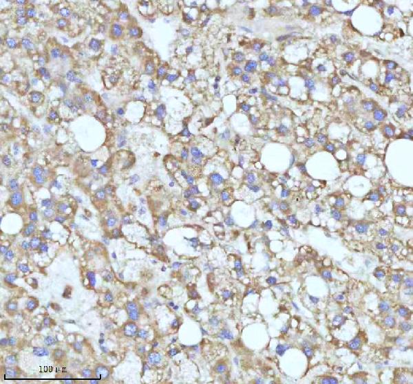
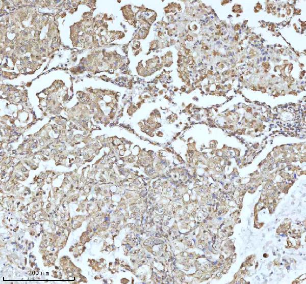
ApplicationsFlow Cytometry, ImmunoFluorescence, Western Blot, ELISA, ImmunoHistoChemistry
Product group Antibodies
ReactivityHuman
TargetMALSU1
Overview
- SupplierBoster Bio
- Product NameAnti-C7orf30/MALSU1 Antibody Picoband(r)
- Delivery Days Customer9
- ApplicationsFlow Cytometry, ImmunoFluorescence, Western Blot, ELISA, ImmunoHistoChemistry
- CertificationResearch Use Only
- ClonalityPolyclonal
- Concentration500 ug/ml
- Gene ID115416
- Target nameMALSU1
- Target descriptionmitochondrial assembly of ribosomal large subunit 1
- Target synonymsC7orf30, mtRsfA, mitochondrial assembly of ribosomal large subunit protein 1
- HostRabbit
- Protein IDQ96EH3
- Protein NameMitochondrial assembly of ribosomal large subunit protein 1
- Scientific DescriptionBoster Bio Anti-C7orf30/MALSU1 Antibody Picoband® catalog # A12786. Tested in WB, IHC, IF, Flow Cytometry, ELISA applications. This antibody reacts with Human. The brand Picoband indicates this is a premium antibody that guarantees superior quality, high affinity, and strong signals with minimal background in Western blot applications. Only our best-performing antibodies are designated as Picoband, ensuring unmatched performance.
- ReactivityHuman
- Storage Instruction-20°C,2°C to 8°C
- UNSPSC12352203











