
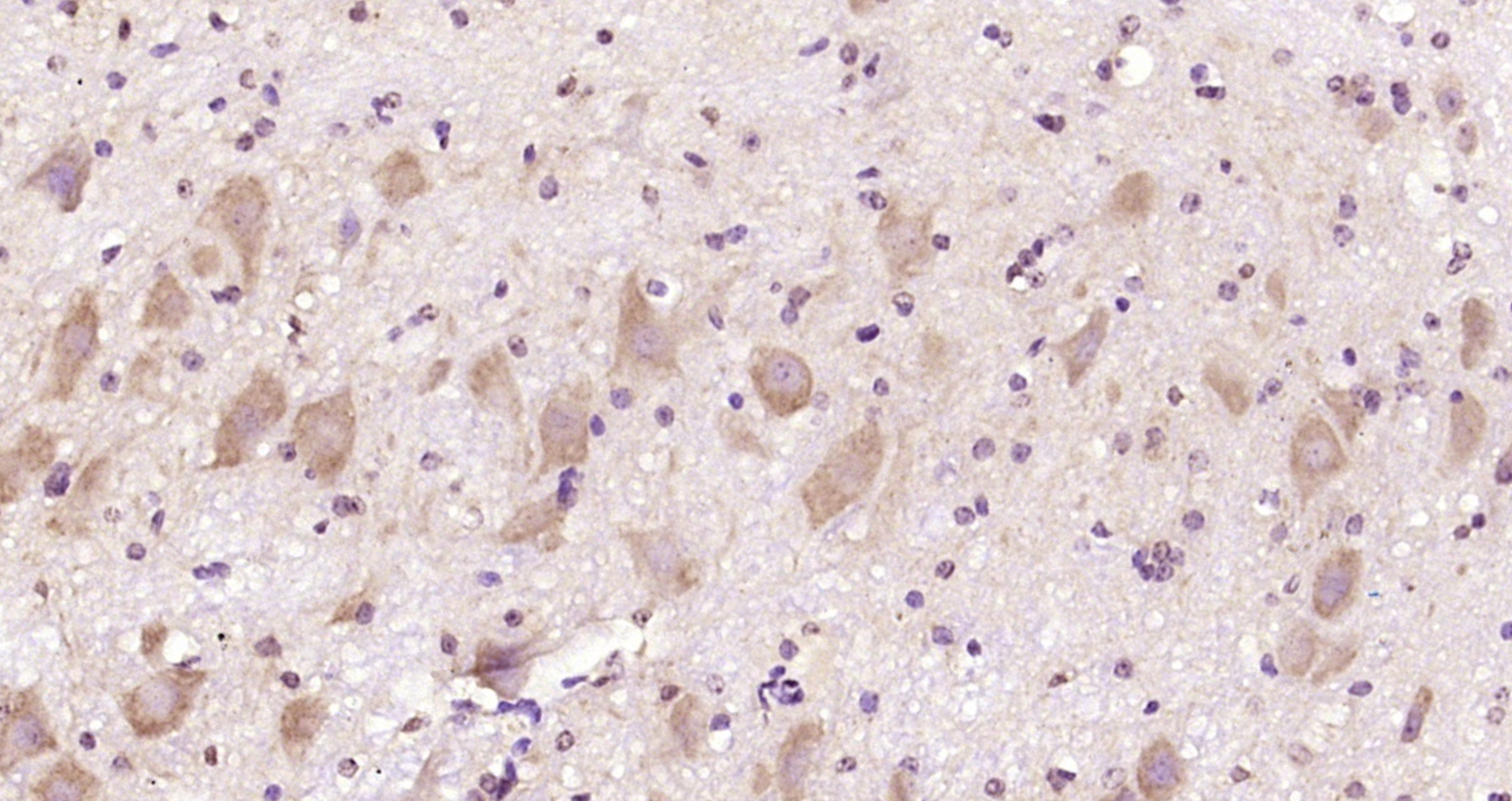
Immunohistochemical staining of human cerebellum shows strong cytoplasmic positivity in Purkinje cells.
Anti-CACNA1A Antibody
HPA068138
ApplicationsImmunoHistoChemistry
Product group Antibodies
ReactivityHuman
TargetCACNA1A
Overview
- SupplierAtlas Antibodies
- Product NameAnti-CACNA1A Antibody
- Delivery Days Customer4
- ApplicationsImmunoHistoChemistry
- CertificationResearch Use Only
- ClonalityPolyclonal
- ConjugateUnconjugated
- Gene ID773
- Target nameCACNA1A
- Target descriptioncalcium voltage-gated channel subunit alpha1 A
- Target synonymsAPCA, BI, CACNL1A4, CAV2.1, DEE42, EA2, EIEE42, FHM, HPCA, MHP, MHP1, SCA6, voltage-dependent P/Q-type calcium channel subunit alpha-1A, brain calcium channel 1, brain calcium channel I, calcium channel, L type, alpha-1 polypeptide, calcium channel, voltage-dependent, P/Q type, alpha 1A subunit, fetal brain Ca2+ voltage-gated channel alpha1A pore-forming subunit, voltage-gated calcium channel subunit alpha Cav2.1
- HostRabbit
- IsotypeIgG
- Protein IDO00555
- Protein NameVoltage-dependent P/Q-type calcium channel subunit alpha-1A
- Scientific DescriptionRecombinant Protein Epitope Signature Tag (PrEST) antigen sequence
- ReactivityHuman
- Storage Instruction-20°C,2°C to 8°C
- UNSPSC41116161





