
Figure 1. Western blot analysis of Caveolin-1/CAV1 using anti-Caveolin-1/CAV1 antibody (PB9165). Electrophoresis was performed on a 5-20% SDS-PAGE gel at 70V (Stacking gel) / 90V (Resolving gel) for 2-3 hours. The sample well of each lane was loaded with 30 ug of sample under reducing conditions. Lane 1: human Hela whole cell lysates, Lane 2: human A549 whole cell lysates, Lane 3: human placenta tissue lysates, Lane 4: human A431 whole cell lysates, Lane 5: human HL-60 whole cell lysates, Lane 6: rat ovary tissue lysates, Lane 7: rat heart tissue lysates, Lane 8: mouse ovary tissue lysates, Lane 9: mouse heart tissue lysates. After electrophoresis, proteins were transferred to a nitrocellulose membrane at 150 mA for 50-90 minutes. Blocked the membrane with 5% non-fat milk/TBS for 1.5 hour at RT. The membrane was incubated with rabbit anti-Caveolin-1/CAV1 antigen affinity purified polyclonal antibody (Catalog # PB9165) at 0.5 microg/mL overnight at 4°C, then washed with TBS-0.1%Tween 3 times with 5 minutes each and probed with a goat anti-rabbit IgG-HRP secondary antibody at a dilution of 1:5000 for 1.5 hour at RT. The signal is developed using an Enhanced Chemiluminescent detection (ECL) kit (Catalog # EK1002) with Tanon 5200 system. A specific band was detected for Caveolin-1/CAV1 at approximately 22 kDa. The expected band size for Caveolin-1/CAV1 is at 20 kDa.
Anti-Caveolin-1/CAV1 Antibody Picoband(r)
PB9165-DYLIGHT594
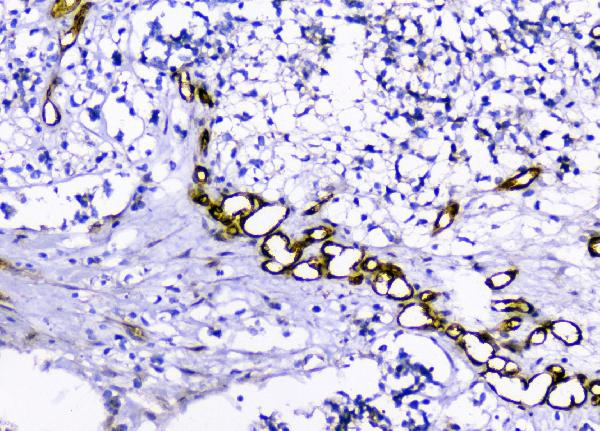
ApplicationsFlow Cytometry, ImmunoFluorescence, Western Blot, ImmunoHistoChemistry, ImmunoHistoChemistry Frozen
Product group Antibodies
ReactivityHuman, Mouse, Rat
TargetCAV1
Overview
- SupplierBoster Bio
- Product NameAnti-Caveolin-1/CAV1 Antibody Picoband(r)
- Delivery Days Customer9
- Application Supplier NoteWB: The detection limit for Caveolin-1 is approximately 0.25ng/lane under reducing conditions. Tested Species: In-house tested species with positive results. By Heat: Boiling the paraffin sections in 10mM citrate buffer, pH6.0, for 20mins is required for the staining of formalin/paraffin sections. Other applications have not been tested. Optimal dilutions should be determined by end users.
- ApplicationsFlow Cytometry, ImmunoFluorescence, Western Blot, ImmunoHistoChemistry, ImmunoHistoChemistry Frozen
- CertificationResearch Use Only
- ClonalityPolyclonal
- Concentration500 ug/ml
- ConjugateOther Conjugate
- Gene ID857
- Target nameCAV1
- Target descriptioncaveolin 1
- Target synonymsBSCL3, CGL3, LCCNS, MSTP085, PPH3, VIP21, caveolin-1, caveolin 1, caveolae protein, 22kDa, cell growth-inhibiting protein 32
- HostRabbit
- IsotypeIgG
- Protein IDQ03135
- Protein NameCaveolin-1
- Scientific DescriptionBoster Bio Anti-Caveolin-1/CAV1 Antibody Picoband® catalog # PB9165. Tested in Flow Cytometry, IF, IHC, IHC-F, WB applications. This antibody reacts with Human, Mouse, Rat. The brand Picoband indicates this is a premium antibody that guarantees superior quality, high affinity, and strong signals with minimal background in Western blot applications. Only our best-performing antibodies are designated as Picoband, ensuring unmatched performance.
- ReactivityHuman, Mouse, Rat
- Storage Instruction-20°C,2°C to 8°C
- UNSPSC12352203











