
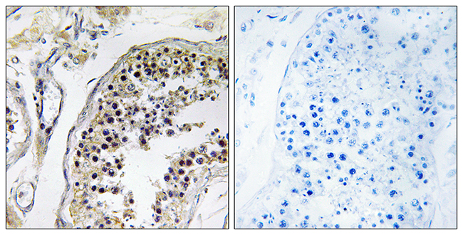
Immunohistochemical staining of human testis shows strong cytoplasmic positivity in cells in seminiferous ducts.
Anti-CNOT4 Antibody
HPA005737
ApplicationsWestern Blot, ImmunoHistoChemistry
Product group Antibodies
ReactivityHuman
TargetCNOT4
Overview
- SupplierAtlas Antibodies
- Product NameAnti-CNOT4 Antibody
- Delivery Days Customer4
- ApplicationsWestern Blot, ImmunoHistoChemistry
- CertificationResearch Use Only
- ClonalityPolyclonal
- ConjugateUnconjugated
- Gene ID4850
- Target nameCNOT4
- Target descriptionCCR4-NOT transcription complex subunit 4
- Target synonymsCLONE243, NOT4, NOT4H, CCR4-NOT transcription complex subunit 4, CCR4-associated factor 4, E3 ubiquitin-protein ligase CNOT4, NOT4 (negative regulator of transcription 4, yeast) homolog, RING-type E3 ubiquitin transferase CNOT4, potential transcriptional repressor NOT4Hp
- HostRabbit
- IsotypeIgG
- Protein IDO95628
- Protein NameCCR4-NOT transcription complex subunit 4
- Scientific DescriptionRecombinant Protein Epitope Signature Tag (PrEST) antigen sequence
- ReactivityHuman
- Storage Instruction-20°C,2°C to 8°C
- UNSPSC41116161






