
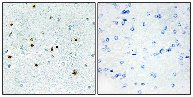
Immunohistochemical staining of human caudate shows strong positivity in neuropil.
Anti-DCLK3 Antibody
HPA040685
ApplicationsImmunoHistoChemistry
Product group Antibodies
ReactivityHuman
TargetDCLK3
Overview
- SupplierAtlas Antibodies
- Product NameAnti-DCLK3 Antibody
- Delivery Days Customer4
- ApplicationsImmunoHistoChemistry
- CertificationResearch Use Only
- ClonalityPolyclonal
- ConjugateUnconjugated
- Gene ID85443
- Target nameDCLK3
- Target descriptiondoublecortin like kinase 3
- Target synonymsCLR, DCAMKL3, DCDC3C, DCK3, serine/threonine-protein kinase DCLK3, CLICK-I,II-related, doublecortin and CaM kinase-like 3, doublecortin domain-containing protein 3C, doublecortin-like and CAM kinase-like 3
- HostRabbit
- IsotypeIgG
- Protein IDQ9C098
- Protein NameSerine/threonine-protein kinase DCLK3
- Scientific DescriptionRecombinant Protein Epitope Signature Tag (PrEST) antigen sequence
- ReactivityHuman
- Storage Instruction-20°C,2°C to 8°C
- UNSPSC41116161




